免费电话:400-9961-933
邮箱:info@sabbiotech.com
欢迎光临本站
川博智能体 English
位置: 首页 > 重组兔单抗 > Versican Rabbit mAb

Versican Rabbit mAb #49792

是否有货: Yes
产品详情

产品名称Versican Rabbit mAb

克隆号JB42-32

来源种属Recombinant Rabbit

克隆性 Monoclonal antibody

纯化ProA affinity purified

应用IHC,WB

种属反应性Human;Mouse

免疫原描述Recombinant protein

标记Unconjugated

别名Chondroitin sulfate proteoglycan 2 antibody
Chondroitin sulfate proteoglycan core protein 2 antibody
Chondroitin sulfate proteoglycan core protein, cartilage antibody
CSPG2 antibody
CSPG2_HUMAN antibody
ERVR antibody
GHAP antibody
Glial hyaluronate binding protein antibody
Glial hyaluronate-binding protein antibody
Large fibroblast proteoglycan antibody
PG-M antibody
PGM antibody
VCAN antibody
Versican antibody
Versican core protein antibody
Versican proteoglycan antibody
WGN 1 antibody
WGN antibody
WGN1 antibody

数据库入口号Swiss-Prot#:P13611

Uniprot P13611

计算分子量373/265/182/74 kDa

配方1*TBS (pH7.4), 1%BSA, 40%Glycerol. Preservative: 0.05% Sodium Azide.

保存Store at -20˚C

应用详情

IHC: 1:50-1:200


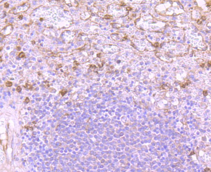
Immunohistochemical analysis of paraffin-embedded human spleen tissue using anti-Versican antibody. Counter stained with hematoxylin.
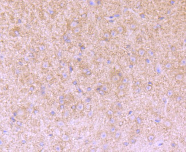
Immunohistochemical analysis of paraffin-embedded mouse brain tissue using anti-Versican antibody. Counter stained with hematoxylin.
Versican (chondroitin sulfate proteoglycan 2) is a large extracellular matrix proteoglycan involved in cell growth and differentiation. Important as a structural molecule, versican creates loose and hydrated matrices during key events in development and disease. The protein contains hyaluronic acid and glycosminoglycan-binding domains, epidermal growth factor-like repeats, a lectin-like sequence and a complement regulatory protein-like domain. Splice variants differ greatly in length and degree of modification by glycosaminoglycan chains. Accumulation around smooth muscle cells in lesions of atherosclerosis, suggests a role for versican in atherogenesis. Versican, differentially expressed in human melanoma, plays a role in tumor development and may be a reliable marker for clinical diagnosis. The organization of HA- and versican-rich pericellular matrices may faciliatate migration and mitosis by diminishing cell surface adhesivity and affecting cell shape through steric exclusion and the viscous properties of HA proteoglycan gels. The human verisican gene maps to chromosome 5q14.3.

如果您使用该产品49792发表了文章,请通知我们,让我们可以引用您的文献。

et al,Single-cell analysis reveals the immune heterogeneity and interactions in lungs undergoing hepatic ischemia-reperfusionInInt ImmunopharmacolOn2023 NovbyChen Zhang1,Mingwei Sheng2, et al..PMID:37844464 , (2023),
PMID: 37844464
et al,Comprehensive integration of single-cell RNA and transcriptome RNA sequencing to establish a pyroptosis-related signature for improving prognostic prediction of gastric cancer , (2024),
PMID:

注释

应用

  • WB免疫印迹
  • IHC免疫组化
  • IF免疫荧光
  • ICC免疫细胞化学
  • FC流式细胞
  • IP免疫沉淀
  • E酶联免疫吸附法
  • DB免疫斑点法
  • ChIP染色质免疫沉淀
  • GICA胶体金免疫层析法
  • NC阴性对照

种属反应性

  • Hu
  • Ms小鼠
  • Rt大鼠
  • Dm果蝇
  • C线虫
  • Mk
  • Rb
  • B
  • D
  • P
  • Hm仓鼠
  • ChHm中国仓鼠
  • Chk
;

联系我们

Location :

南京市高新开发区星火路10号人才大厦C座

Phone :

400-9961-933
025-58868422

Email Address

info@sabbiotech.com