免费电话:400-9961-933
邮箱:info@sabbiotech.com
欢迎光临本站
川博智能体 English
位置: 首页 > 重组兔单抗 > Wnt2b Rabbit mAb

Wnt2b Rabbit mAb #49802

是否有货: Yes
产品详情

产品名称Wnt2b Rabbit mAb

克隆号JB48-34

来源种属Recombinant Rabbit

克隆性 Monoclonal antibody

纯化ProA affinity purified

应用WB,IHC,ICC,IF,FC

种属反应性Human;Mouse;Rat

免疫原描述Recombinant protein

标记Unconjugated

别名Protein Wnt-13 antibody
Protein Wnt-2b antibody
Wingless type MMTV integration site family, member 13 antibody
Wingless type MMTV integration site family, member 2B antibody
WNT13 antibody
Wnt2b antibody
WNT2B_HUMAN antibody
XWNT2 antibody
XWNT2, Xenopus, homolog of antibody

数据库入口号Swiss-Prot#:Q93097

Uniprot Q93097

计算分子量44 kDa

配方1*TBS (pH7.4), 1%BSA, 40%Glycerol. Preservative: 0.05% Sodium Azide.

保存Store at -20˚C

应用详情
WB: 1:500-1:1,000
IHC: 1:50-1:200
ICC: 1:100-1:500

FC: 1:50-1:100
Western blot analysis of Wnt2b on SiHa cell lysates using anti-Wnt2b at 1/500 dilution.
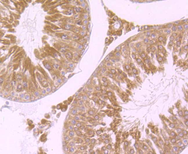
Immunohistochemical analysis of paraffin-embedded rat testis tissue using anti-Wnt2b antibody. Counter stained with hematoxylin.
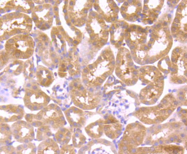
Immunohistochemical analysis of paraffin-embedded human kidney tissue using anti-Wnt2b antibody. Counter stained with hematoxylin.
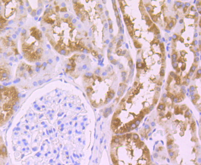
Immunohistochemical analysis of paraffin-embedded mouse kidney tissue using anti-Wnt2b antibody. Counter stained with hematoxylin.
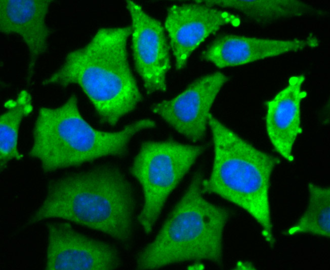
ICC staining Wnt2b in Hela cells (green). The nuclear counter stain is DAPI (blue). Cells were fixed in paraformaldehyde, permeabilised with 0.25% Triton X100/PBS.
ICC staining Wnt2b in LOVO cells (green). The nuclear counter stain is DAPI (blue). Cells were fixed in paraformaldehyde, permeabilised with 0.25% Triton X100/PBS.
ICC staining Wnt2b in SHSY-5Y cells (green). The nuclear counter stain is DAPI (blue). Cells were fixed in paraformaldehyde, permeabilised with 0.25% Triton X100/PBS.
Flow cytometric analysis of LOVO cells with Wnt2b antibody at 1/50 dilution (red) compared with an unlabelled control (cells without incubation with primary antibody; black). Alexa Fluor 488-conjugated goat anti-rabbit IgG was used as the secondary antibody.
This gene encodes a member of the wingless-type MMTV integration site (WNT) family of highly conserved, secreted signaling factors. WNT family members function in a variety of developmental processes including regulation of cell growth and differentiation and are characterized by a WNT-core domain. This gene may play a role in human development as well as carcinogenesis. Alternative splicing results in multiple transcript variants. Ligand for members of the frizzled family of seven transmembrane receptors. Functions in the canonical Wnt/beta-catenin signaling pathway. Plays a redundant role in embryonic lung development.

如果您使用该产品49802发表了文章,请通知我们,让我们可以引用您的文献。

et al,Modeling human ectopic pregnancies with trophoblast and vascular organoidsIn Cell Rep On2023 Jun 27byXiaoya Zhao , Zhenwu Zhang et al..PMID:37224015 , (2023),
PMID: 37224015

注释

应用

  • WB免疫印迹
  • IHC免疫组化
  • IF免疫荧光
  • ICC免疫细胞化学
  • FC流式细胞
  • IP免疫沉淀
  • E酶联免疫吸附法
  • DB免疫斑点法
  • ChIP染色质免疫沉淀
  • GICA胶体金免疫层析法
  • NC阴性对照

种属反应性

  • Hu
  • Ms小鼠
  • Rt大鼠
  • Dm果蝇
  • C线虫
  • Mk
  • Rb
  • B
  • D
  • P
  • Hm仓鼠
  • ChHm中国仓鼠
  • Chk
;

联系我们

Location :

南京市高新开发区星火路10号人才大厦C座

Phone :

400-9961-933
025-58868422

Email Address

info@sabbiotech.com