免费电话:400-9961-933
邮箱:info@sabbiotech.com
欢迎光临本站
川博智能体 English
位置: 首页 > 重组兔单抗 > HIF-2 alpha Rabbit mAb

HIF-2 alpha Rabbit mAb #49814

是否有货: Yes
产品详情

产品名称HIF-2 alpha Rabbit mAb

克隆号JB24-42

来源种属Recombinant Rabbit

克隆性 Monoclonal antibody

纯化ProA affinity purified

应用WB,IHC,FC

种属反应性Human;Mouse;Rat

免疫原描述Recombinant protein

标记Unconjugated

别名Basic helix loop helix PAS protein MOP2 antibody
Basic-helix-loop-helix-PAS protein MOP2 antibody
bHLHe73 antibody
Class E basic helix-loop-helix protein 73 antibody
ECYT4 antibody
Endothelial PAS domain containing protein 1 antibody
Endothelial pas domain protein 1 antibody
Endothelial PAS domain-containing protein 1 antibody
EPAS 1 antibody
EPAS-1 antibody
EPAS1 antibody
EPAS1_HUMAN antibody
HIF 1 alpha like factor antibody
HIF 2 alpha antibody
HIF-1-alpha-like factor antibody
HIF-2-alpha antibody
HIF2-alpha antibody
HIF2A antibody
HLF antibody
Hypoxia inducible factor 2 alpha antibody
Hypoxia inducible factor 2 alpha subunit antibody
Hypoxia-inducible factor 2-alpha antibody
Member of PAS protein 2 antibody
Member of pas superfamily 2 antibody
MOP 2 antibody
MOP2 antibody
PAS domain-containing protein 2 antibody
PASD2 antibody

数据库入口号Swiss-Prot#:Q99814

Uniprot Q99814

计算分子量96 kDa

配方1*TBS (pH7.4), 1%BSA, 40%Glycerol. Preservative: 0.05% Sodium Azide.

保存Store at -20˚C

应用详情
WB: 1:500-1:2,000
IHC: 1:50-1:200


FC: 1:50-1:100
Western blot analysis of HIF-2 alpha on SiHa cell lysate using anti-HIF-2 alpha antibody at 1/500 dilution.
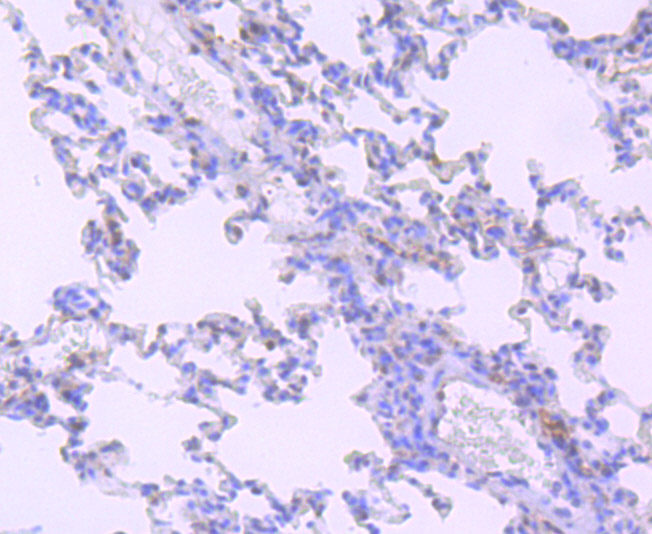
Immunohistochemical analysis of paraffin-embedded rat lung tissue using anti-HIF-2 alpha antibody. Counter stained with hematoxylin.
Immunohistochemical analysis of paraffin-embedded human breast cancer tissue using anti-HIF-2 alpha antibody. Counter stained with hematoxylin.
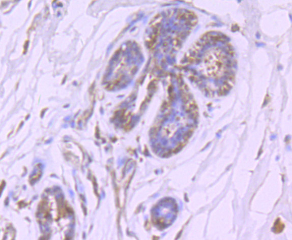
Immunohistochemical analysis of paraffin-embedded human placenta tissue using anti-HIF-2 alpha antibody. Counter stained with hematoxylin.
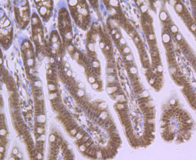
Immunohistochemical analysis of paraffin-embedded mouse colon tissue using anti-HIF-2 alpha antibody. Counter stained with hematoxylin.
Flow cytometric analysis of HUVEC cells with HIF-2 antibody at 1/100 dilution (red) compared with an unlabelled control (cells without incubation with primary antibody; black). Alexa Fluor 488-conjugated goat anti rabbit IgG was used as the secondary antibody.
Cell growth and viability is compromised by oxygen deprivation (hypoxia). Hypoxia-inducible factors, including HIF-1α, HIF-1β (also designated Arnt 1), EPAS-1 (also designated HIF-2α) and HIF-3α, induce glycolysis, erythropoiesis and angiogenesis in order to restore oxygen homeostasis. Hypoxia-inducible factors are members of the Per-Arnt-Sim (PAS) domain transcription factor family. In response to hypoxia, HIF-1α is upregulated and forms a heterodimer with Arnt 1 to form the HIF-1 complex. The HIF-1 complex recognizes and binds to the hypoxia responsive element (HRE) of hypoxia-inducible genes, thereby activating transcription. Hypoxia-inducible expression of some genes such as Glut-1, p53, p21 or Bcl-2, is HIF-1α dependent, whereas expression of others, such as p27, GADD 153 or HO-1, is HIF-1α independent. EPAS-1 and HIF-3α have also been shown to form heterodimeric complexes with Arnt 1 in response to hypoxia.

如果您使用该产品49814发表了文章,请通知我们,让我们可以引用您的文献。

et al,Obstructive Sleep Apnea Affects Lacrimal Gland Function. In Invest Ophthalmol Vis Sci on 2022 Mar 2 by Shaopan Wang, Xin He,et al..PMID:35238868 , (2022),
PMID: 35238868
et al,Roxadustat ameliorates experimental colitis in mice by regulating macrophage polarization through increasing HIF levelInBiochim Biophys Acta Gen SubjOn2023 Dec 27byGuiping Kong?1,?Hu Hua et al..PMID: 38158022 , (2023),
PMID: 38158022
et al,Roxadustat ameliorates experimental colitis in mice by regulating macrophage polarization through increasing HIF level. In Biochim Biophys Acta Gen Subj on 2024 Mar by Guiping Kong, Hu Hua,et al..PMID:38158022 , (2024),
PMID: 38158022
et al,Multi-transcriptomics reveals niche-specific expression programs and endothelial cells in glioblastoma , (2025),
PMID: 40234880

注释

应用

  • WB免疫印迹
  • IHC免疫组化
  • IF免疫荧光
  • ICC免疫细胞化学
  • FC流式细胞
  • IP免疫沉淀
  • E酶联免疫吸附法
  • DB免疫斑点法
  • ChIP染色质免疫沉淀
  • GICA胶体金免疫层析法
  • NC阴性对照

种属反应性

  • Hu
  • Ms小鼠
  • Rt大鼠
  • Dm果蝇
  • C线虫
  • Mk
  • Rb
  • B
  • D
  • P
  • Hm仓鼠
  • ChHm中国仓鼠
  • Chk
;

联系我们

Location :

南京市高新开发区星火路10号人才大厦C座

Phone :

400-9961-933
025-58868422

Email Address

info@sabbiotech.com