免费电话:400-9961-933
邮箱:info@sabbiotech.com
欢迎光临本站
川博智能体 English
位置: 首页 > 重组兔单抗 > NDUFB8 Rabbit mAb

NDUFB8 Rabbit mAb #49897

是否有货: Yes
产品详情

产品名称NDUFB8 Rabbit mAb

克隆号JG61-36

来源种属Recombinant Rabbit

克隆性Monoclonal

纯化ProA affinity purified

应用WB,IP,IHC,FC,ICC,IF

种属反应性Human;Mouse;Rat

免疫原描述Recombinant protein within human NDUFB8 aa 30-130.

标记Unconjugated

别名ASHI antibody
CI-ASHI antibody
Complex I ASHI subunit antibody
Complex I-ASHI antibody
mitochondrial antibody
NADH dehydrogenase (ubiquinone) 1 beta subcomplex 8 19kDa antibody
NADH dehydrogenase [ubiquinone] 1 beta subcomplex subunit 8 antibody
NADH dehydrogenase [ubiquinone] 1 beta subcomplex subunit 8 mitochondrial antibody
NADH-ubiquinone oxidoreductase ASHI subunit antibody
NDUB8_HUMAN antibody
NDUFB8 antibody

数据库入口号Swiss-Prot#:O95169

Uniprot O95169

计算分子量17 kDa

配方1*TBS (pH7.4), 1%BSA, 40%Glycerol. Preservative: 0.05% Sodium Azide.

保存Store at -20˚C

应用详情

WB: 1:500-1:2,000
IHC: 1:50-1:200
ICC: 1:50
IP: 1:10-1:50
FC: 1:50-1:100
IF 1:50-1:200

Western blot analysis of NDUFB8 on different lysates using anti-NDUFB8 antibody at 1/1,000 dilution.
Positive control:
Lane 1: 293
Lane 2: A549
Lane 3: Mouse heart
Lane 4: Rat spleen
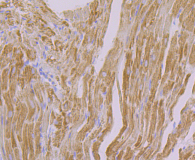
Immunohistochemical analysis of paraffin-embedded rat heart tissue using anti-NDUFB8 antibody. Counter stained with hematoxylin.
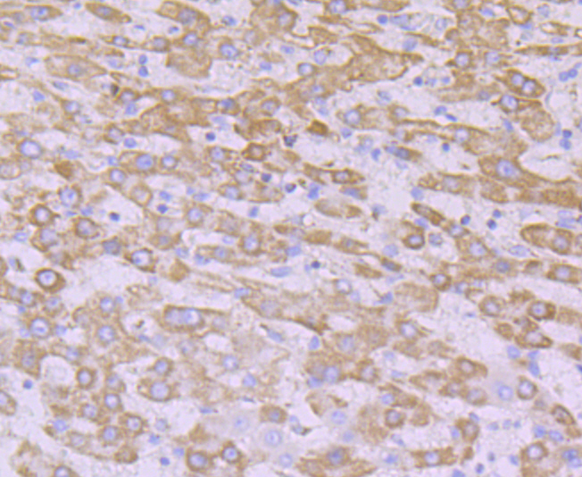
Immunohistochemical analysis of paraffin-embedded human liver cancer tissue using anti-NDUFB8 antibody. Counter stained with hematoxylin.
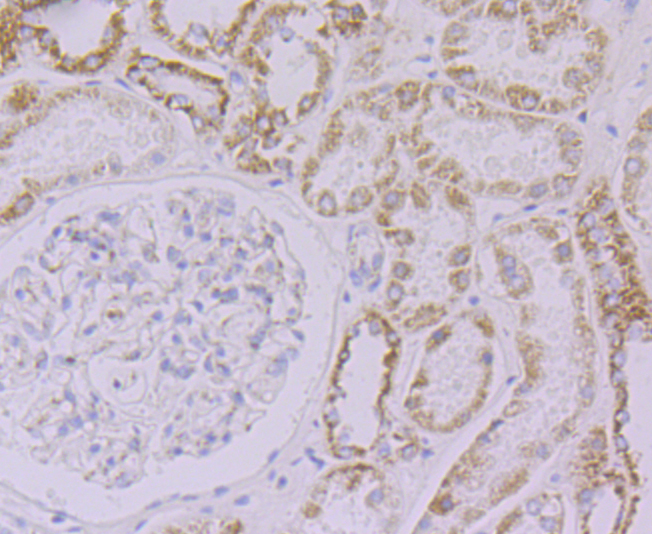
Immunohistochemical analysis of paraffin-embedded human kidney tissue using anti-NDUFB8 antibody. Counter stained with hematoxylin.
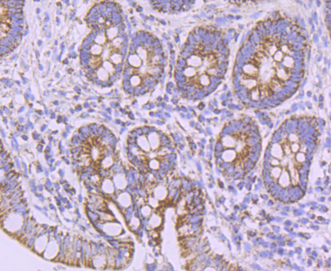
Immunohistochemical analysis of paraffin-embedded human small intestine tissue using anti-NDUFB8 antibody. Counter stained with hematoxylin.
Flow cytometric analysis of 293Tcells with NDUFB8 antibody at 1/100 dilution (yellow) compared with an unlabelled control (cells without incubation with primary antibody; purple).Alexa Fluor 488-conjugated goat anti-rabbit IgG was used as the secondary antibody.

Accessory subunit of the mitochondrial membrane respiratory chain NADH dehydrogenase (Complex I), that is believed not to be involved in catalysis. Complex I functions in the transfer of electrons from NADH to the respiratory chain. The immediate electron acceptor for the enzyme is believed to be ubiquinone.

如果您使用该产品49897发表了文章,请通知我们,让我们可以引用您的文献。

et al,Multifunctional manganese-based nanogels catalyze immune energy metabolism to promote bone repair , (2025),
PMID:
et al,A Novel CYP2E1 Inhibitor, 4‐Methyl‐5‐Acetylthiazole (Q11), Alleviates Obesity Via Modulating Adipose Inflammation and Mitochondrial Dysfunction , (2025),
PMID: 41420839

注释

应用

  • WB免疫印迹
  • IHC免疫组化
  • IF免疫荧光
  • ICC免疫细胞化学
  • FC流式细胞
  • IP免疫沉淀
  • E酶联免疫吸附法
  • DB免疫斑点法
  • ChIP染色质免疫沉淀
  • GICA胶体金免疫层析法
  • NC阴性对照

种属反应性

  • Hu
  • Ms小鼠
  • Rt大鼠
  • Dm果蝇
  • C线虫
  • Mk
  • Rb
  • B
  • D
  • P
  • Hm仓鼠
  • ChHm中国仓鼠
  • Chk
;

联系我们

Location :

南京市高新开发区星火路10号人才大厦C座

Phone :

400-9961-933
025-58868422

Email Address

info@sabbiotech.com