免费电话:400-9961-933
邮箱:info@sabbiotech.com
欢迎光临本站
川博智能体 English
位置: 首页 > 重组兔单抗 > DAP12 Rabbit mAb

DAP12 Rabbit mAb #49944

是否有货: Yes
产品详情

产品名称DAP12 Rabbit mAb

克隆号JG38-70

来源种属Recombinant Rabbit

克隆性 Monoclonal antibody

纯化ProA affinity purified

应用WB,IHC,FC

种属反应性Human

免疫原描述Synthetic peptide within human DAP12 aa 60-100.

标记Unconjugated

别名DAP 12 antibody
DAP12 antibody
DNAX activation protein 12 antibody
DNAX-activation protein 12 antibody
KAR-associated protein antibody
KARAP antibody
Killer activating receptor associated protein antibody
Killer-activating receptor-associated protein antibody
PLOSL antibody
TYOBP_HUMAN antibody
TYRO protein tyrosine kinase binding protein antibody
TYRO protein tyrosine kinase-binding protein antibody
TYROBP antibody

数据库入口号Swiss-Prot#:O43914

Uniprot O43914

计算分子量12 kDa

配方1*TBS (pH7.4), 1%BSA, 40%Glycerol. Preservative: 0.05% Sodium Azide.

保存Store at -20˚C

应用详情
WB: 1:500-1:1,000
IHC: 1:50-1:200


FC: 1:50-1:100
Western blot analysis of DAP12 on THP-1 cell using anti-DAP12 antibody at 1/500 dilution.
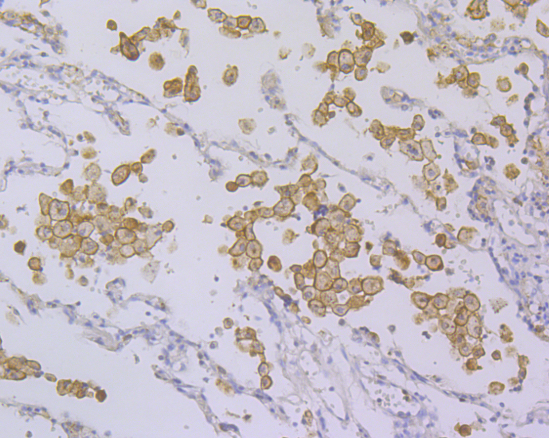
Immunohistochemical analysis of paraffin-embedded human lung cancer tissue using anti-DAP12 antibody. Counter stained with hematoxylin.
Flow cytometric analysis of K562 cells with DAP12 antibody at 1/100 dilution (purple) compared with an unlabelled control (cells without incubation with primary antibody; yellow). Alexa Fluor 488-conjugated goat anti-rabbit IgG was used as the secondary antibody.
Natural killer (NK) cells are regulated by stimulatory and inhibitory signals from a variety of receptors. Three main receptor families are responsible for NK cells recognition of MHC I molecules, including Ly-49, CD94/NKG2 and KIR (killer-cell inhibitory receptor). DAP12 is a phosphoprotein that is involved in the activation of NK cells. This protein interacts with membrane glycoproteins of the KIR family, resulting in cellular activation. DAP12 also binds to CD94/NKG2C, an activating NK cell receptor belonging to the C-type lectin superfamily. Additional proteins that bind to DAP12 include Ly-49D and Ly-49H, which associate with DAP12 in the plasma membrane. Phosphorylated DAP12 binds to ZAP-70 and Syk, suggesting that the activation pathway may be similar to that of the T and B cell antigen receptors.

如果您使用该产品49944发表了文章,请通知我们,让我们可以引用您的文献。

et al,Engineered circular RNA-based DLL3-targeted CAR-T therapy for small cell lung cancer. , (2025),
PMID: 40075480

注释

应用

  • WB免疫印迹
  • IHC免疫组化
  • IF免疫荧光
  • ICC免疫细胞化学
  • FC流式细胞
  • IP免疫沉淀
  • E酶联免疫吸附法
  • DB免疫斑点法
  • ChIP染色质免疫沉淀
  • GICA胶体金免疫层析法
  • NC阴性对照

种属反应性

  • Hu
  • Ms小鼠
  • Rt大鼠
  • Dm果蝇
  • C线虫
  • Mk
  • Rb
  • B
  • D
  • P
  • Hm仓鼠
  • ChHm中国仓鼠
  • Chk
;

联系我们

Location :

南京市高新开发区星火路10号人才大厦C座

Phone :

400-9961-933
025-58868422

Email Address

info@sabbiotech.com