免费电话:400-9961-933
邮箱:info@sabbiotech.com
欢迎光临本站
川博智能体 English
位置: 首页 > 重组兔单抗 > SHP2 Rabbit mAb

SHP2 Rabbit mAb #52027

是否有货: Yes
产品详情

产品名称SHP2 Rabbit mAb

克隆号S08-3G2

来源种属Recombinant Rabbit

克隆性Monoclonal antibody

亚型Rabbit IgG

纯化Affinity Purified

应用WB IHC

种属反应性Human

免疫原描述A synthetic peptide of human SHP2

标记Unconjugated

别名CFC, NS1, SHP2, BPTP3, PTP2C, PTP-1D, SH-PTP2, SH-PTP

数据库入口号Swiss-Prot:Q06124
GeneID:5781

Uniprot Q06124

Gene ID 5781

计算分子量Calculated MW: 68 kDa; Observed MW: 68 kDa

配方50nM Tris-Glycine(pH 7.4), 0.15M NaCl, 40% Glycerol, 0.01% Sodium azide and 0.05% BSA

保存Store at 4˚C short term. Aliquot and store at -20˚C long term. Avoid freeze/thaw cycles.

应用详情
WB: 1/2000; IHC: 1/20;
Western blot detection of SHP2 in Hela,293 cell lysates using SHP2 Rabbit mAb(1:1000 diluted).Predicted band size:68kDa.Observed band size:68kDa.
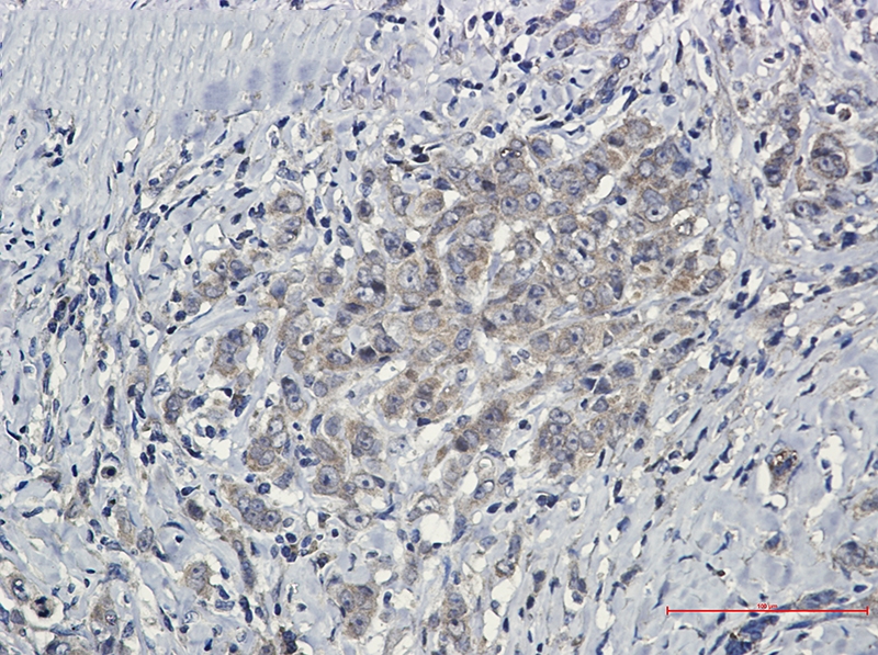
Immunohistochemistry of SHP2 in paraffin-embedded Human breast cancer tissue using SHP2 Rabbit mAb at dilution 1/50
Swiss-Prot Acc.Q06124.Acts downstream of various receptor and cytoplasmic protein tyrosine kinases to participate in the signal transduction from the cell surface to the nucleus (PubMed:10655584, PubMed:18559669, PubMed:18829466, PubMed:26742426, PubMed:28074573). Positively regulates MAPK signal transduction pathway (PubMed:28074573). Dephosphorylates GAB1, ARHGAP35 and EGFR (PubMed:28074573). Dephosphorylates ROCK2 at 'Tyr-722' resulting in stimulation of its RhoA binding activity (PubMed:18559669). Dephosphorylates CDC73 (PubMed:26742426). Dephosphorylates SOX9 on tyrosine residues, leading to inactivate SOX9 and promote ossification (By similarity).

如果您使用该产品52027发表了文章,请通知我们,让我们可以引用您的文献。

et al,Grass carp (Ctenopharyngodon idellus) SHP2 suppresses IFN I expression via decreasing the phosphorylation of GSK3 beta in a non-contact manner , (2021),
PMID: 34265416

注释

应用

  • WB免疫印迹
  • IHC免疫组化
  • IF免疫荧光
  • ICC免疫细胞化学
  • FC流式细胞
  • IP免疫沉淀
  • E酶联免疫吸附法
  • DB免疫斑点法
  • ChIP染色质免疫沉淀
  • GICA胶体金免疫层析法
  • NC阴性对照

种属反应性

  • Hu
  • Ms小鼠
  • Rt大鼠
  • Dm果蝇
  • C线虫
  • Mk
  • Rb
  • B
  • D
  • P
  • Hm仓鼠
  • ChHm中国仓鼠
  • Chk
;

联系我们

Location :

南京市高新开发区星火路10号人才大厦C座

Phone :

400-9961-933
025-58868422

Email Address

info@sabbiotech.com