免费电话:400-9961-933
邮箱:info@sabbiotech.com
欢迎光临本站
川博智能体 English
位置: 首页 > 重组兔单抗 > RSK1 p90 Rabbit mAb

RSK1 p90 Rabbit mAb#52563

是否有货: Yes
产品详情

产品名称RSK1 p90 Rabbit mAb

克隆号S02-2D2

来源种属Recombinant Rabbit

克隆性Monoclonal antibody

亚型Rabbit IgG

纯化Affinity Purified

应用WB IHC

种属反应性Human;Mouse;Rat

免疫原描述A synthetic peptide of human RSK1 p90

标记Unconjugated

别名RSK; HU-1; RSK1; p90Rsk; MAPKAPK1A

数据库入口号Swiss-Prot:Q15418
GeneID:6195

Uniprot Q15418

Gene ID 6195

计算分子量Calculated MW: 83 kDa; Observed MW: 90 kDa

配方50nM Tris-Glycine(pH 7.4), 0.15M NaCl, 40% Glycerol, 0.01% Sodium azide and 0.05% BSA

保存Store at 4˚C short term. Aliquot and store at -20˚C long term. Avoid freeze/thaw cycles.

应用详情
WB: 1/1000; IHC: 1/20;
Western blot detection of RSK1 p90 in Hela cell lysates using RSK1 p90 Rabbit mAb(1:500 diluted).Predicted band size:83kDa.Observed band size:90kDa.
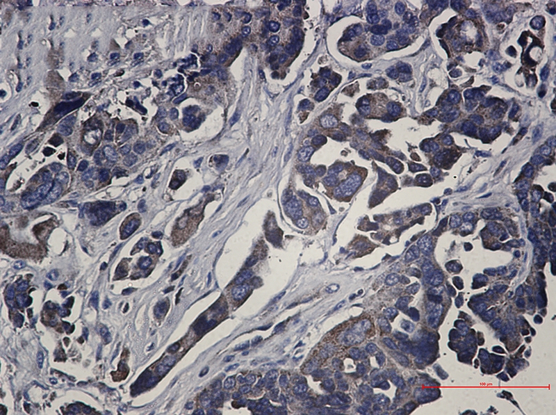
Immunohistochemistry of RSK1 p90 in paraffin-embedded Human Cholangiocarcinoma using RSK1 p90 Rabbit mAb at dilution 1/50
Swiss-Prot Acc.Q15418.Serine/threonine-protein kinase that acts downstream of ERK (MAPK1/ERK2 and MAPK3/ERK1) signaling and mediates mitogenic and stress-induced activation of the transcription factors CREB1, ETV1/ER81 and NR4A1/NUR77, regulates translation through RPS6 and EIF4B phosphorylation, and mediates cellular proliferation, survival, and differentiation by modulating mTOR signaling and repressing pro-apoptotic function of BAD and DAPK1. In fibroblast, is required for EGF-stimulated phosphorylation of CREB1, which results in the subsequent transcriptional activation of several immediate-early genes. In response to mitogenic stimulation (EGF and PMA), phosphorylates and activates NR4A1/NUR77 and ETV1/ER81 transcription factors and the cofactor CREBBP. Upon insulin-derived signal, acts indirectly on the transcription regulation of several genes by phosphorylating GSK3B at 'Ser-9' and inhibiting its activity. Phosphorylates RPS6 in response to serum or EGF via an mTOR-independent mechanism and promotes translation initiation by facilitating assembly of the pre-initiation complex. In response to insulin, phosphorylates EIF4B, enhancing EIF4B affinity for the EIF3 complex and stimulating cap-dependent translation. Is involved in the mTOR nutrient-sensing pathway by directly phosphorylating TSC2 at 'Ser-1798', which potently inhibits TSC2 ability to suppress mTOR signaling, and mediates phosphorylation of RPTOR, which regulates mTORC1 activity and may promote rapamycin-sensitive signaling independently of the PI3K/AKT pathway. Mediates cell survival by phosphorylating the pro-apoptotic proteins BAD and DAPK1 and suppressing their pro-apoptotic function. Promotes the survival of hepatic stellate cells by phosphorylating CEBPB in response to the hepatotoxin carbon tetrachloride (CCl4). Mediates induction of hepatocyte prolifration by TGFA through phosphorylation of CEBPB . Is involved in cell cycle regulation by phosphorylating the CDK inhibitor CDKN1B, which promotes CDKN1B association with 14-3-3 proteins and prevents its translocation to the nucleus and inhibition of G1 progression. Phosphorylates EPHA2 at 'Ser-897', the RPS6KA-EPHA2 signaling pathway controls cell migration (PubMed:26158630).

如果您使用该产品52563发表了文章,请通知我们,让我们可以引用您的文献。

注释

应用

  • WB免疫印迹
  • IHC免疫组化
  • IF免疫荧光
  • ICC免疫细胞化学
  • FC流式细胞
  • IP免疫沉淀
  • E酶联免疫吸附法
  • DB免疫斑点法
  • ChIP染色质免疫沉淀
  • GICA胶体金免疫层析法
  • NC阴性对照

种属反应性

  • Hu
  • Ms小鼠
  • Rt大鼠
  • Dm果蝇
  • C线虫
  • Mk
  • Rb
  • B
  • D
  • P
  • Hm仓鼠
  • ChHm中国仓鼠
  • Chk
;

联系我们

Location :

南京市高新开发区星火路10号人才大厦C座

Phone :

400-9961-933
025-58868422

Email Address

info@sabbiotech.com