免费电话:400-9961-933
邮箱:info@sabbiotech.com
欢迎光临本站
川博智能体 English
位置: 首页 > 多克隆抗体 > NFKB1 Rabbit Polyclonal Antibody

NFKB1 Rabbit Polyclonal Antibody #53221

是否有货: Yes
产品详情

产品名称NFKB1 Rabbit Polyclonal Antibody

来源种属Rabbit

克隆性Polyclonal

亚型IgG

纯化Affinity purification

应用WB;IHC;IF;IP

种属反应性Human

免疫原描述Recombinant fusion protein of human NFKB1 (NP_001158884.1).

标记Unconjugated

别名NFKB1;CVID12;EBP-1;KBF1;NF-kB1;NF-kappa-B;NF-kappaB;NFKB-p105;NFKB-p50;NFkappaB;p105;p50

数据库入口号Swiss Prot:P19838
GeneID:4790

Uniprot P19838

计算分子量85kDa/105kDa

实际分子量120kDa

配方Buffer: PBS with 0.02% sodium azide,50% glycerol,pH7.3.

保存Store at -20˚C. Avoid freeze / thaw cycles.

应用详情
WB 1:500-1:2000; IHC 1:100-1:300; IF 1:50-1:500; IP 1:25-100
Western blot analysis of extracts of Raji and MCF7 cells, using NFKB1 Rabbit Polyclonal Antibody.
Western blot analysis of extracts of Hela and 231 cells, using NFKB1 Rabbit Polyclonal Antibody.
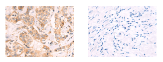
Immunohistochemical analysis of paraffin-embedded human breast carcinoma tissue using NFkB-p105(Ab-932) Antibody(left) or the same antibody preincubated with blocking peptide(right).
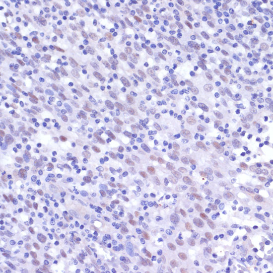
Immunohistochemistry of paraffin-embedded human tonsil using NFKB1 at dilution of 1:200 (40x lens).
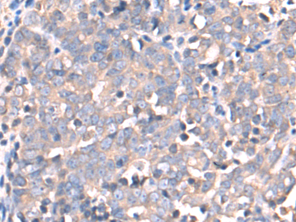
Immunohistochemistry of paraffin-embedded Human ovarian cancer using NFKB1 Antibody
Immunofluorescence analysis of MCF7 cells using NFKB1 .
Immunofluorescence analysis of A-549 cells using NFKB1 Rabbit pAb at dilution of 1:50 (40x lens).
This gene encodes a 105 kD protein which can undergo cotranslational processing by the 26S proteasome to produce a 50 kD protein. The 105 kD protein is a Rel protein-specific transcription inhibitor and the 50 kD protein is a DNA binding subunit of the NF-kappa-B (NFKB) protein complex. NFKB is a transcription regulator that is activated by various intra- and extra-cellular stimuli such as cytokines, oxidant-free radicals, ultraviolet irradiation, and bacterial or viral products. Activated NFKB translocates into the nucleus and stimulates the expression of genes involved in a wide variety of biological functions. Inappropriate activation of NFKB has been associated with a number of inflammatory diseases while persistent inhibition of NFKB leads to inappropriate immune cell development or delayed cell growth. Alternative splicing results in multiple transcript variants encoding different isoforms, at least one of which is proteolytically processed.

如果您使用该产品53221发表了文章,请通知我们,让我们可以引用您的文献。

et al,The role of FTO in m6A RNA methylation and immune regulation in Staphylococcus aureus infection-related osteomyelitis. , (2025),
PMID: 39980685

注释

应用

  • WB免疫印迹
  • IHC免疫组化
  • IF免疫荧光
  • ICC免疫细胞化学
  • FC流式细胞
  • IP免疫沉淀
  • E酶联免疫吸附法
  • DB免疫斑点法
  • ChIP染色质免疫沉淀
  • GICA胶体金免疫层析法
  • NC阴性对照

种属反应性

  • Hu
  • Ms小鼠
  • Rt大鼠
  • Dm果蝇
  • C线虫
  • Mk
  • Rb
  • B
  • D
  • P
  • Hm仓鼠
  • ChHm中国仓鼠
  • Chk
;

联系我们

Location :

南京市高新开发区星火路10号人才大厦C座

Phone :

400-9961-933
025-58868422

Email Address

info@sabbiotech.com