免费电话:400-9961-933
邮箱:info@sabbiotech.com
欢迎光临本站
川博智能体 English
位置: 首页 > 多克隆抗体 > CASC5 Rabbit Polyclonal Antibody

CASC5 Rabbit Polyclonal Antibody #53505

是否有货: Yes
产品详情

产品名称CASC5 Rabbit Polyclonal Antibody

来源种属Rabbit

克隆性Polyclonal

亚型IgG

纯化Affinity purification

应用WB,IHC,IF

种属反应性Human;Rat

免疫原描述Recombinant fusion protein of human CASC5 (NP_733468.3).

标记Unconjugated

别名AF15Q14;CASC5;CT29;D40;MCPH4;PPP1R55;Spc7;hKNL-1;hSpc105;KNL1

数据库入口号Swiss Prot:Q8NG31
GeneID:57082

Uniprot Q8NG31

计算分子量195kDa/205kDa/262kDa/265kDa

实际分子量300kDa

配方Buffer: PBS with 0.02% sodium azide,50% glycerol,pH7.3.

保存Store at -20˚C. Avoid freeze / thaw cycles.

应用详情
WB 1:500 - 1:2000
IHC 1:50 - 1:100
IF 1:50 - 1:100
Western blot analysis of extracts of various cell lines, using CASC5 at 1:3000 dilution.
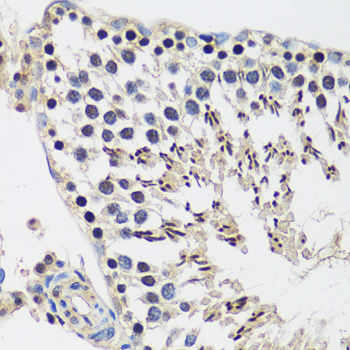
Immunohistochemistry of paraffin-embedded rat testis using CASC5 at dilution of 1:100 (40x lens).
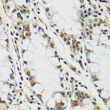
Immunohistochemistry of paraffin-embedded human colon using CASC5 at dilution of 1:100 (40x lens).
The protein encoded by this gene is a component of the multiprotein assembly that is required for creation of kinetochore-microtubule attachments and chromosome segregation. The encoded protein functions as a scaffold for proteins that influence the spindle assembly checkpoint during the eukaryotic cell cycle and it interacts with at least five different kinetochore proteins and two checkpoint kinases. In adults, this gene is predominantly expressed in normal testes, various cancer cell lines and primary tumors from other tissues and is ubiquitously expressed in fetal tissues. This gene was originally identified as a fusion partner with the mixed-lineage leukemia (MLL) gene in t(11;15)(q23;q14). Mutations in this gene cause autosomal recessive primary microcephaly-4 (MCPH4). Alternative splicing results in multiple transcript variants encoding different isoforms. Additional splice variants have been described but their biological validity has not been confirmed.

如果您使用该产品53505发表了文章,请通知我们,让我们可以引用您的文献。

et al,Synthesis of an RBM39 Degrader That Downregulates CEP192 and Induces Disorganized Spindle Structures. , (2025),
PMID: 40107850

注释

应用

  • WB免疫印迹
  • IHC免疫组化
  • IF免疫荧光
  • ICC免疫细胞化学
  • FC流式细胞
  • IP免疫沉淀
  • E酶联免疫吸附法
  • DB免疫斑点法
  • ChIP染色质免疫沉淀
  • GICA胶体金免疫层析法
  • NC阴性对照

种属反应性

  • Hu
  • Ms小鼠
  • Rt大鼠
  • Dm果蝇
  • C线虫
  • Mk
  • Rb
  • B
  • D
  • P
  • Hm仓鼠
  • ChHm中国仓鼠
  • Chk
;

联系我们

Location :

南京市高新开发区星火路10号人才大厦C座

Phone :

400-9961-933
025-58868422

Email Address

info@sabbiotech.com