免费电话:400-9961-933
邮箱:info@sabbiotech.com
欢迎光临本站
川博智能体 English
位置: 首页 > 多克隆抗体 > UNC5B Rabbit Polyclonal Antibody

UNC5B Rabbit Polyclonal Antibody #53954

是否有货: Yes
产品详情

产品名称UNC5B Rabbit Polyclonal Antibody

来源种属Rabbit

克隆性Polyclonal

亚型IgG

纯化Affinity purification

应用WB,IF

种属反应性Human;Mouse;Rat

免疫原描述Recombinant fusion protein of human UNC5B (NP_734465.2).

标记Unconjugated

别名UNC5B;UNC5H2;p53RDL1

数据库入口号Swiss Prot:Q8IZJ1
GeneID:219699

Uniprot Q8IZJ1

计算分子量102kDa/103kDa

实际分子量104kDa

配方Buffer: PBS with 0.02% sodium azide,50% glycerol,pH7.3.

保存Store at -20˚C. Avoid freeze / thaw cycles.

应用详情
WB 1:500 - 1:2000
IF 1:50 - 1:100
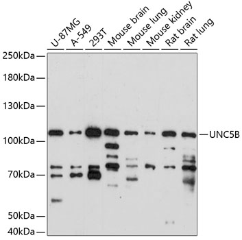
Western blot analysis of extracts of various cell lines, using UNC5B at 1:1000 dilution.
This gene encodes a member of the netrin family of receptors. This particular protein mediates the repulsive effect of netrin-1 and is a vascular netrin receptor. This encoded protein is also in a group of proteins called dependence receptors (DpRs) which are involved in pro- and anti-apoptotic processes. Many DpRs are involved in embryogenesis and in cancer progression. Two alternatively spliced transcript variants have been described for this gene.

如果您使用该产品53954发表了文章,请通知我们,让我们可以引用您的文献。

et al,Identification of UNC5B as a novel aggressive biomarker for osteosarcoma based on basement membrane genes , (2024),
PMID:

注释

应用

  • WB免疫印迹
  • IHC免疫组化
  • IF免疫荧光
  • ICC免疫细胞化学
  • FC流式细胞
  • IP免疫沉淀
  • E酶联免疫吸附法
  • DB免疫斑点法
  • ChIP染色质免疫沉淀
  • GICA胶体金免疫层析法
  • NC阴性对照

种属反应性

  • Hu
  • Ms小鼠
  • Rt大鼠
  • Dm果蝇
  • C线虫
  • Mk
  • Rb
  • B
  • D
  • P
  • Hm仓鼠
  • ChHm中国仓鼠
  • Chk
;

联系我们

Location :

南京市高新开发区星火路10号人才大厦C座

Phone :

400-9961-933
025-58868422

Email Address

info@sabbiotech.com