免费电话:400-9961-933
邮箱:info@sabbiotech.com
欢迎光临本站
川博智能体 English
位置: 首页 > 多克隆抗体 > TPI1 Rabbit Polyclonal Antibody

TPI1 Rabbit Polyclonal Antibody #54087

是否有货: Yes
产品详情

产品名称TPI1 Rabbit Polyclonal Antibody

来源种属Rabbit

克隆性Polyclonal

亚型IgG

纯化Affinity purification

应用WB,IHC,IF

种属反应性Human;Mouse;Rat

免疫原描述Recombinant fusion protein of human TPI1 (NP_000356.1).

标记Unconjugated

别名TPI1;HEL-S-49;TIM;TPI;TPID

数据库入口号Swiss Prot:P60174
GeneID:7167

Uniprot P60174

计算分子量17kDa/26kDa/30kDa

实际分子量30kDa

配方Buffer: PBS with 0.02% sodium azide,50% glycerol,pH7.3.

保存Store at -20˚C. Avoid freeze / thaw cycles.

应用详情
WB 1:500 - 1:2000
IHC 1:100 - 1:200
IF 1:50 - 1:200
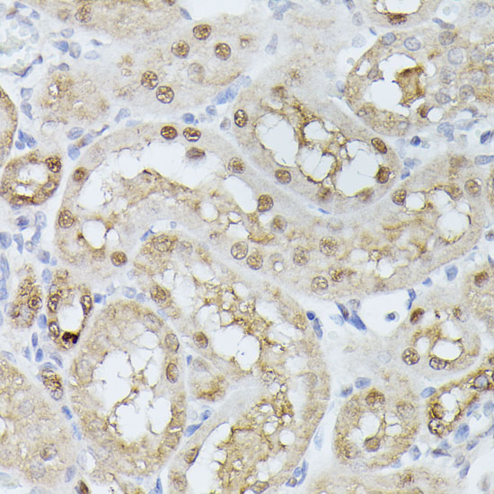
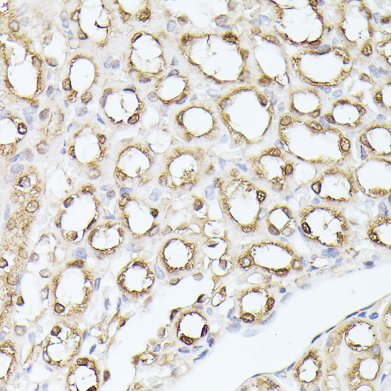
Immunohistochemistry of paraffin-embedded rat kidney using TPI1 at dilution of 1:100 (40x lens).
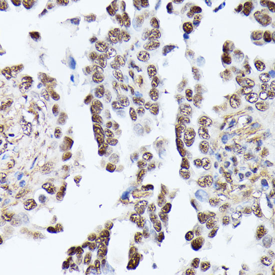
Immunohistochemistry of paraffin-embedded human lung cancer using TPI1 at dilution of 1:100 (40x lens).
Immunohistochemistry of paraffin-embedded mouse kidney using TPI1 at dilution of 1:100 (40x lens).
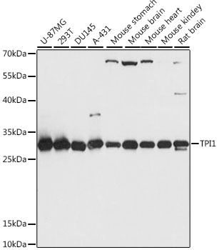
Western blot analysis of extracts of various cell lines, using TPI1 at 1:1000 dilution.
Immunofluorescence analysis of U-2 OS cells using TPI1 at dilution of 1:100. Blue: DAPI for nuclear staining.
This gene encodes an enzyme, consisting of two identical proteins, which catalyzes the isomerization of glyceraldehydes 3-phosphate (G3P) and dihydroxy-acetone phosphate (DHAP) in glycolysis and gluconeogenesis. Mutations in this gene are associated with triosephosphate isomerase deficiency. Pseudogenes have been identified on chromosomes 1, 4, 6 and 7. Alternative splicing results in multiple transcript variants.

如果您使用该产品54087发表了文章,请通知我们,让我们可以引用您的文献。

et al,LDHA-mediated glycolysis in stria vascularis endothelial cells regulates macrophages function through CX3CL1-CX3CR1 pathway in noise-induced oxidative stress. , (2025),
PMID: 39900910

注释

应用

  • WB免疫印迹
  • IHC免疫组化
  • IF免疫荧光
  • ICC免疫细胞化学
  • FC流式细胞
  • IP免疫沉淀
  • E酶联免疫吸附法
  • DB免疫斑点法
  • ChIP染色质免疫沉淀
  • GICA胶体金免疫层析法
  • NC阴性对照

种属反应性

  • Hu
  • Ms小鼠
  • Rt大鼠
  • Dm果蝇
  • C线虫
  • Mk
  • Rb
  • B
  • D
  • P
  • Hm仓鼠
  • ChHm中国仓鼠
  • Chk
;

联系我们

Location :

南京市高新开发区星火路10号人才大厦C座

Phone :

400-9961-933
025-58868422

Email Address

info@sabbiotech.com