免费电话:400-9961-933
邮箱:info@sabbiotech.com
欢迎光临本站
川博智能体 English
位置: 首页 > 多克隆抗体 > TERT Rabbit Polyclonal Antibody

TERT Rabbit Polyclonal Antibody #54247

是否有货: Yes
产品详情

产品名称TERT Rabbit Polyclonal Antibody

来源种属Rabbit

克隆性Polyclonal

亚型IgG

纯化Affinity purification

应用WB,IHC

种属反应性Human;Mouse

免疫原描述A synthetic peptide of human TERT (NP_937983.2).

标记Unconjugated

别名TERT;CMM9;DKCA2;DKCB4;EST2;PFBMFT1;TCS1;TP2;TRT;hEST2;hTRT

数据库入口号Swiss Prot:O14746
GeneID:7015

Uniprot O14746

计算分子量88kDa/90kDa/120kDa/126kDa

配方Buffer: PBS with 0.02% sodium azide,50% glycerol,pH7.3.

保存Store at -20˚C. Avoid freeze / thaw cycles.

应用详情
WB 1:2000 - 1:5000
IHC 1:50 - 1:200
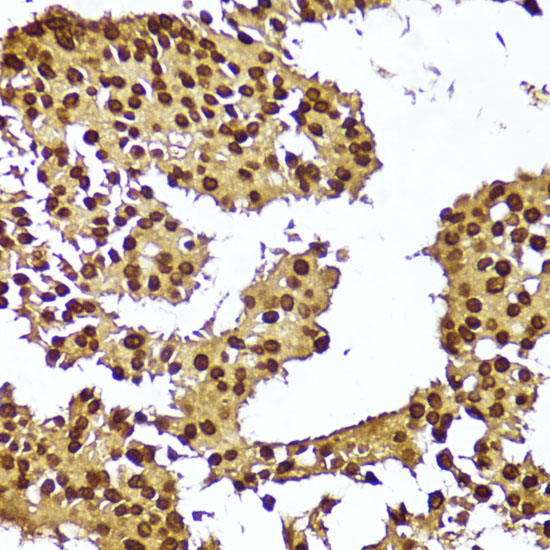
Immunohistochemistry of paraffin-embedded human breast cancer using TERT at dilution of 1:100 (40x lens).
Telomerase is a ribonucleoprotein polymerase that maintains telomere ends by addition of the telomere repeat TTAGGG. The enzyme consists of a protein component with reverse transcriptase activity, encoded by this gene, and an RNA component which serves as a template for the telomere repeat. Telomerase expression plays a role in cellular senescence, as it is normally repressed in postnatal somatic cells resulting in progressive shortening of telomeres. Deregulation of telomerase expression in somatic cells may be involved in oncogenesis. Studies in mouse suggest that telomerase also participates in chromosomal repair, since de novo synthesis of telomere repeats may occur at double-stranded breaks. Alternatively spliced variants encoding different isoforms of telomerase reverse transcriptase have been identified; the full-length sequence of some variants has not been determined. Alternative splicing at this locus is thought to be one mechanism of regulation of telomerase activity.

如果您使用该产品54247发表了文章,请通知我们,让我们可以引用您的文献。

et al,CENPF (+) cancer cells promote malignant progression of early-stage TP53 mutant lung adenocarcinoma. , (2025),
PMID: 40044674

注释

应用

  • WB免疫印迹
  • IHC免疫组化
  • IF免疫荧光
  • ICC免疫细胞化学
  • FC流式细胞
  • IP免疫沉淀
  • E酶联免疫吸附法
  • DB免疫斑点法
  • ChIP染色质免疫沉淀
  • GICA胶体金免疫层析法
  • NC阴性对照

种属反应性

  • Hu
  • Ms小鼠
  • Rt大鼠
  • Dm果蝇
  • C线虫
  • Mk
  • Rb
  • B
  • D
  • P
  • Hm仓鼠
  • ChHm中国仓鼠
  • Chk
;

联系我们

Location :

南京市高新开发区星火路10号人才大厦C座

Phone :

400-9961-933
025-58868422

Email Address

info@sabbiotech.com