免费电话:400-9961-933
邮箱:info@sabbiotech.com
欢迎光临本站
川博智能体 English
位置: 首页 > 多克隆抗体 > TRIM16 Rabbit Polyclonal Antibody

TRIM16 Rabbit Polyclonal Antibody #54441

是否有货: Yes
产品详情

产品名称TRIM16 Rabbit Polyclonal Antibody

来源种属Rabbit

克隆性Polyclonal

亚型IgG

纯化Affinity purification

应用WB,IHC,IF

种属反应性Human;Mouse;Rat

免疫原描述Recombinant fusion protein of human TRIM16 (NP_006461.3).

标记Unconjugated

别名EBBP;TRIM16

数据库入口号Swiss Prot:O95361
GeneID:10626

Uniprot O95361

计算分子量_

实际分子量64kDa

配方Buffer: PBS with 0.02% sodium azide,50% glycerol,pH7.3.

保存Store at -20˚C. Avoid freeze / thaw cycles.

应用详情
WB 1:500 - 1:2000
IHC 1:50 - 1:200
IF 1:50 - 1:200
Western blot analysis of extracts of various cell lines, using TRIM16 at 1:1000 dilution.
Immunofluorescence analysis of L929 cells using TRIM16 at dilution of 1:100. Blue: DAPI for nuclear staining.
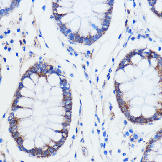
Immunohistochemistry of paraffin-embedded human colon carcinoma using TRIM16 at dilution of 1:100 (40x lens).
The protein encoded by this gene is a tripartite motif (TRIM) family member that contains two B box domains and a coiled-coiled region that are characteristic of the B box zinc finger protein family. While it lacks a RING domain found in other TRIM proteins, the encoded protein can homodimerize or heterodimerize with other TRIM proteins and has E3 ubiquitin ligase activity. This gene is also a tumor suppressor and is involved in secretory autophagy. [provided by RefSeq, Jan 2017]

如果您使用该产品54441发表了文章,请通知我们,让我们可以引用您的文献。

et al,TRIM16 mediates YAP1 K63-linked ubiquitination to alleviate sepsis-induced acute liver injury through YAP/Nrf2 axis in mice , (2025),
PMID: 41437125

注释

应用

  • WB免疫印迹
  • IHC免疫组化
  • IF免疫荧光
  • ICC免疫细胞化学
  • FC流式细胞
  • IP免疫沉淀
  • E酶联免疫吸附法
  • DB免疫斑点法
  • ChIP染色质免疫沉淀
  • GICA胶体金免疫层析法
  • NC阴性对照

种属反应性

  • Hu
  • Ms小鼠
  • Rt大鼠
  • Dm果蝇
  • C线虫
  • Mk
  • Rb
  • B
  • D
  • P
  • Hm仓鼠
  • ChHm中国仓鼠
  • Chk
;

联系我们

Location :

南京市高新开发区星火路10号人才大厦C座

Phone :

400-9961-933
025-58868422

Email Address

info@sabbiotech.com