免费电话:400-9961-933
邮箱:info@sabbiotech.com
欢迎光临本站
川博智能体 English
位置: 首页 > 多克隆抗体 > Histone H2A.X Polyclonal Antibody

Histone H2A.X Polyclonal Antibody #54667

是否有货: Yes
产品详情

产品名称Histone H2A.X Polyclonal Antibody

来源种属Rabbit

克隆性Polyclonal

亚型IgG

纯化Affinity purification

应用WB,IHC,IF

种属反应性Human;Mouse;Rat

免疫原描述A synthetic peptide of human Histone H2AX.

标记Unconjugated

别名H2A.X;H2A/X;H2AX;Histone H2AX;H2AFX;histone H2AX;gamma H2A.X;γH2AX

数据库入口号Swiss Prot:P16104
GeneID:3014

Uniprot P16104

计算分子量15kDa

实际分子量15kDa

配方Buffer: PBS with 0.02% sodium azide,50% glycerol,pH7.3.

保存Store at -20˚C. Avoid freeze / thaw cycles.

应用详情
WB 1:500 - 1:1000
IHC 1:50 - 1:100
IF 1:50 - 1:100
Western blot analysis of extracts from various cell lines using Histone H2A.X Antibody.
Western blot analysis of extracts from various cell lines using Histone H2A.X Antibody.
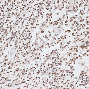
Immunohistochemistry analysis of paraffin-embedded Mouse brain tissue using Histone H2A.X Polyclonal Antibody.
Immunohistochemistry analysis of paraffin-embedded Rat heart tissue using Histone H2A.X Polyclonal Antibody.
Immunohistochemistry analysis of paraffin-embedded Rat brain tissue using Histone H2A.X Polyclonal Antibody.
Immunohistochemistry analysis of paraffin-embedded Rat testis tissue using Histone H2A.X Polyclonal Antibody.
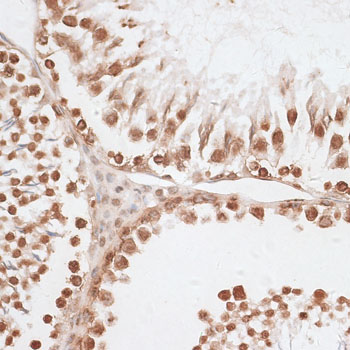
Immunohistochemistry analysis of paraffin-embedded Human tonsil tissue using Histone H2A.X Polyclonal Antibody.
Immunofluorescence analysis of HeLa cells using Histone H2A.X Polyclonal Antibody. Blue: DAPI for nuclear staining.
Immunofluorescence analysis of U-2 OS cells using Histone H2A.X Polyclonal Antibody. Blue: DAPI for nuclear staining.
Histones are basic nuclear proteins that are responsible for the nucleosome structure of the chromosomal fiber in eukaryotes. Two molecules of each of the four core histones (H2A, H2B, H3, and H4) form an octamer, around which approximately 146 bp of DNA is wrapped in repeating units, called nucleosomes. The linker histone, H1, interacts with linker DNA between nucleosomes and functions in the compaction of chromatin into higher order structures. This gene encodes a replication-independent histone that is a member of the histone H2A family, and generates two transcripts through the use of the conserved stem-loop termination motif, and the polyA addition motif.

如果您使用该产品54667发表了文章,请通知我们,让我们可以引用您的文献。

et al,2-Mercaptoethanol protects against DNA double-strand breaks after kidney ischemia and reperfusion injury through GPX4 upregulation. In Pharmacol Rep on 2022 Oct by Daeun Moon, Babu J Padanilam, et al..PMID: 35989399 , (2022),
PMID: 35989399
et al,AMBRA1 drives gastric cancer progression through regulation of tumor plasticity , (2024),
PMID:

注释

应用

  • WB免疫印迹
  • IHC免疫组化
  • IF免疫荧光
  • ICC免疫细胞化学
  • FC流式细胞
  • IP免疫沉淀
  • E酶联免疫吸附法
  • DB免疫斑点法
  • ChIP染色质免疫沉淀
  • GICA胶体金免疫层析法
  • NC阴性对照

种属反应性

  • Hu
  • Ms小鼠
  • Rt大鼠
  • Dm果蝇
  • C线虫
  • Mk
  • Rb
  • B
  • D
  • P
  • Hm仓鼠
  • ChHm中国仓鼠
  • Chk
;

联系我们

Location :

南京市高新开发区星火路10号人才大厦C座

Phone :

400-9961-933
025-58868422

Email Address

info@sabbiotech.com