免费电话:400-9961-933
邮箱:info@sabbiotech.com
欢迎光临本站
川博智能体 English
位置: 首页 > 多克隆抗体 > UQCRC1 Rabbit Polyclonal Antibody

UQCRC1 Rabbit Polyclonal Antibody #54759

是否有货: Yes
产品详情

产品名称UQCRC1 Rabbit Polyclonal Antibody

来源种属Rabbit

克隆性Polyclonal

亚型IgG

纯化Affinity purification

应用WB,IHC

种属反应性Human;Mouse;Rat

免疫原描述Recombinant fusion protein of human UQCRC1 (NP_003356.2).

标记Unconjugated

别名UQCRC1;D3S3191;QCR1;UQCR1

数据库入口号Swiss Prot:P31930
GeneID:7384

Uniprot P31930

计算分子量52kDa

实际分子量53kDa

配方Buffer: PBS with 0.02% sodium azide,50% glycerol,pH7.3.

保存Store at -20˚C. Avoid freeze / thaw cycles.

应用详情
WB 1:500 - 1:2000
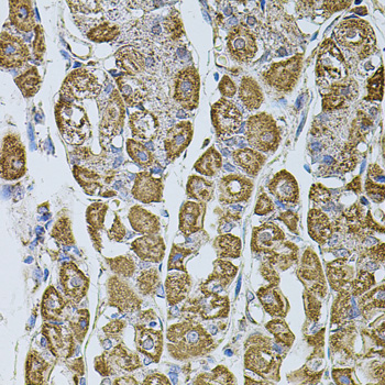
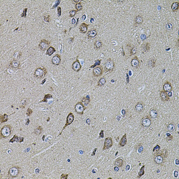
IHC 1:50 - 1:200
Immunohistochemistry of paraffin-embedded rat brain using UQCRC1 at dilution of 1:100 (40x lens).
Immunohistochemistry of paraffin-embedded human prostate using UQCRC1 at dilution of 1:100 (40x lens).
Immunohistochemistry of paraffin-embedded human stomach using UQCRC1 at dilution of 1:100 (40x lens).
Western blot analysis of extracts of various cell lines, using UQCRC1 at 1:1000 dilution.
_

如果您使用该产品54759发表了文章,请通知我们,让我们可以引用您的文献。

et al,Multifunctional manganese-based nanogels catalyze immune energy metabolism to promote bone repair , (2025),
PMID:

注释

应用

  • WB免疫印迹
  • IHC免疫组化
  • IF免疫荧光
  • ICC免疫细胞化学
  • FC流式细胞
  • IP免疫沉淀
  • E酶联免疫吸附法
  • DB免疫斑点法
  • ChIP染色质免疫沉淀
  • GICA胶体金免疫层析法
  • NC阴性对照

种属反应性

  • Hu
  • Ms小鼠
  • Rt大鼠
  • Dm果蝇
  • C线虫
  • Mk
  • Rb
  • B
  • D
  • P
  • Hm仓鼠
  • ChHm中国仓鼠
  • Chk
;

联系我们

Location :

南京市高新开发区星火路10号人才大厦C座

Phone :

400-9961-933
025-58868422

Email Address

info@sabbiotech.com