免费电话:400-9961-933
邮箱:info@sabbiotech.com
欢迎光临本站
川博智能体 English
位置: 首页 > 多克隆抗体 > C8orf4 Rabbit Polyclonal Antibody

C8orf4 Rabbit Polyclonal Antibody#54984

是否有货: Yes
产品详情

产品名称C8orf4 Rabbit Polyclonal Antibody

来源种属Rabbit

克隆性Polyclonal

亚型IgG

纯化Affinity purification

应用WB,IHC

种属反应性Human;Mouse;Rat

免疫原描述Recombinant fusion protein of human C8orf4 (NP_064515.1).

标记Unconjugated

别名C8orf4;TC-1;TC1

数据库入口号Swiss Prot:Q9NR00
GeneID:56892

Uniprot Q9NR00

计算分子量12kDa

配方Buffer: PBS with 0.02% sodium azide,50% glycerol,pH7.3.

保存Store at -20˚C. Avoid freeze / thaw cycles.

应用详情
WB 1:500 - 1:2000
IHC 1:50 - 1:200
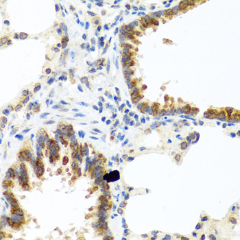
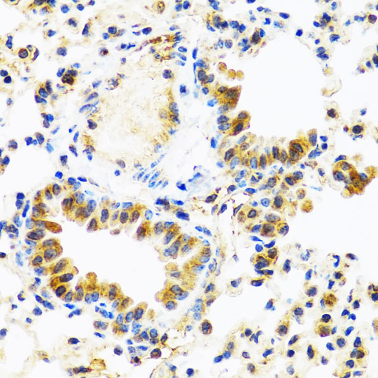
Immunohistochemistry of paraffin-embedded rat lung using C8orf4 at dilution of 1:100 (40x lens).
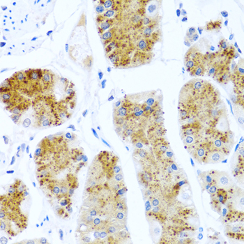
Immunohistochemistry of paraffin-embedded human stomach using C8orf4 at dilution of 1:100 (40x lens).
Immunohistochemistry of paraffin-embedded mouse lung using C8orf4 at dilution of 1:100 (40x lens).
This gene encodes a small, monomeric, predominantly unstructured protein that functions as a positive regulator of the Wnt/beta-catenin signaling pathway. This protein interacts with a repressor of beta-catenin mediated transcription at nuclear speckles. It is thought to competitively block interactions of the repressor with beta-catenin, resulting in up-regulation of beta-catenin target genes. The encoded protein may also play a role in the NF-kappaB and ERK1/2 signaling pathways. Expression of this gene may play a role in the proliferation of several types of cancer including thyroid cancer, breast cancer and hematological malignancies.

如果您使用该产品54984发表了文章,请通知我们,让我们可以引用您的文献。

注释

应用

  • WB免疫印迹
  • IHC免疫组化
  • IF免疫荧光
  • ICC免疫细胞化学
  • FC流式细胞
  • IP免疫沉淀
  • E酶联免疫吸附法
  • DB免疫斑点法
  • ChIP染色质免疫沉淀
  • GICA胶体金免疫层析法
  • NC阴性对照

种属反应性

  • Hu
  • Ms小鼠
  • Rt大鼠
  • Dm果蝇
  • C线虫
  • Mk
  • Rb
  • B
  • D
  • P
  • Hm仓鼠
  • ChHm中国仓鼠
  • Chk
;

联系我们

Location :

南京市高新开发区星火路10号人才大厦C座

Phone :

400-9961-933
025-58868422

Email Address

info@sabbiotech.com