免费电话:400-9961-933
邮箱:info@sabbiotech.com
欢迎光临本站
川博智能体 English
位置: 首页 > 多克隆抗体 > SYP Rabbit Polyclonal Antibody

SYP Rabbit Polyclonal Antibody #54990

是否有货: Yes
产品详情

产品名称SYP Rabbit Polyclonal Antibody

来源种属Rabbit

克隆性Polyclonal

亚型IgG

纯化Affinity purification

应用WB,IHC,IF

种属反应性Human;Mouse;Rat

免疫原描述A synthetic peptide of human SYP (NP_003170.1).

标记Unconjugated

别名MRX96;MRXSYP;SYP

数据库入口号Swiss Prot:P08247
GeneID:6855

Uniprot P08247

计算分子量20kDa/33kDa

实际分子量38kDa

配方Buffer: PBS with 0.02% sodium azide,50% glycerol,pH7.3.

保存Store at -20˚C. Avoid freeze / thaw cycles.

应用详情
WB 1:500 - 1:2000
IHC 1:50 - 1:100
IF 1:50 - 1:200
Western blot analysis of extracts of various cell lines, using SYP at 1:1000 dilution.
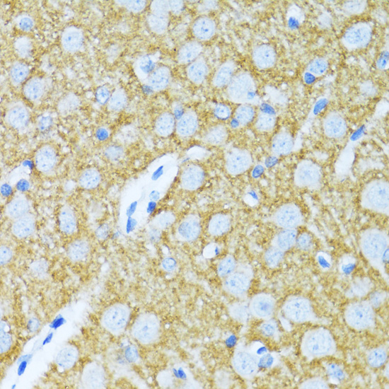
Immunohistochemistry of paraffin-embedded rat brain using SYP at dilution of 1:100 (40x lens).
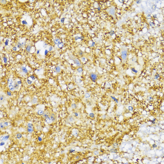
Immunohistochemistry of paraffin-embedded mouse spinal cord using SYP at dilution of 1:100 (40x lens).
This gene encodes an integral membrane protein of small synaptic vesicles in brain and endocrine cells. The protein also binds cholesterol and is thought to direct targeting of vesicle-associated membrane protein 2 (synaptobrevin) to intracellular compartments. Mutations in this gene are associated with X-linked mental retardation (XLMR).

如果您使用该产品54990发表了文章,请通知我们,让我们可以引用您的文献。

et al,Qingzhuan dark tea Theabrownin alleviates hippocampal injury in HFD-induced obese mice through the MARK4/NLRP3 pathway , (2024),
PMID:

注释

应用

  • WB免疫印迹
  • IHC免疫组化
  • IF免疫荧光
  • ICC免疫细胞化学
  • FC流式细胞
  • IP免疫沉淀
  • E酶联免疫吸附法
  • DB免疫斑点法
  • ChIP染色质免疫沉淀
  • GICA胶体金免疫层析法
  • NC阴性对照

种属反应性

  • Hu
  • Ms小鼠
  • Rt大鼠
  • Dm果蝇
  • C线虫
  • Mk
  • Rb
  • B
  • D
  • P
  • Hm仓鼠
  • ChHm中国仓鼠
  • Chk
;

联系我们

Location :

南京市高新开发区星火路10号人才大厦C座

Phone :

400-9961-933
025-58868422

Email Address

info@sabbiotech.com