免费电话:400-9961-933
邮箱:info@sabbiotech.com
欢迎光临本站
川博智能体 English
位置: 首页 > 多克隆抗体 > LILRB4 Rabbit Polyclonal Antibody

LILRB4 Rabbit Polyclonal Antibody #55107

是否有货: Yes
产品详情

产品名称LILRB4 Rabbit Polyclonal Antibody

来源种属Rabbit

克隆性Polyclonal

亚型IgG

纯化Affinity purification

应用WB,IHC,IF

种属反应性Human;Mouse;Rat

免疫原描述Recombinant fusion protein of human LILRB4 (NP_001265355.2).

标记Unconjugated

别名LILRB4;CD85K;ILT-3;ILT3;LIR-5;LIR5

数据库入口号Swiss Prot:Q8NHJ6
Gene ID:11006

Uniprot Q8NHJ6

Gene ID 11006

计算分子量49kDa

实际分子量49KDa

配方Buffer: PBS with 0.02% sodium azide,50% glycerol,pH7.3.

保存Store at -20˚C. Avoid freeze / thaw cycles.

应用详情
WB 1:500 - 1:2000
IHC 1:50 - 1:200
IF 1:50 - 1:200
Western blot analysis of extracts of various cell lines, using LILRB4 antibody.
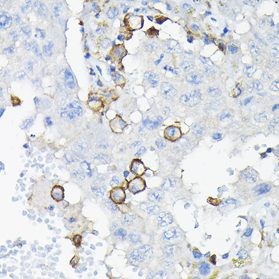
Immunohistochemistry of paraffin-embedded human liver cancer using LILRB4 Rabbit pAb.
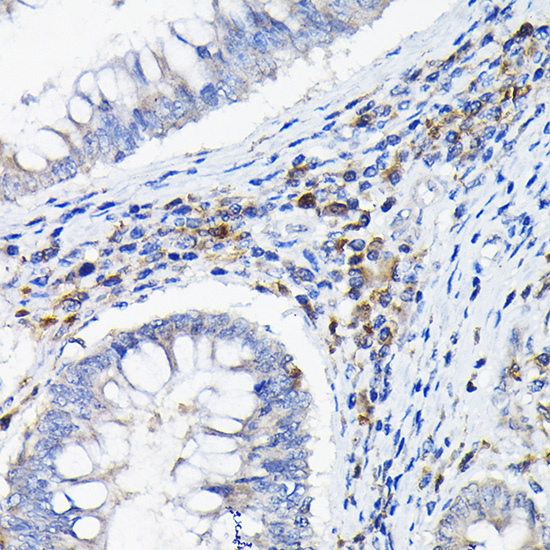
Immunohistochemistry of paraffin-embedded human colon carcinoma using LILRB4 Rabbit pAb.
Immunofluorescence analysis of mouse spleen using LILRB4 Rabbit pAb.
This gene is a member of the leukocyte immunoglobulin-like receptor (LIR) family, which is found in a gene cluster at chromosomal region 19q13.4. The encoded protein belongs to the subfamily B class of LIR receptors which contain two or four extracellular immunoglobulin domains, a transmembrane domain, and two to four cytoplasmic immunoreceptor tyrosine-based inhibitory motifs (ITIMs). The receptor is expressed on immune cells where it binds to MHC class I molecules on antigen-presenting cells and transduces a negative signal that inhibits stimulation of an immune response. The receptor can also function in antigen capture and presentation. It is thought to control inflammatory responses and cytotoxicity to help focus the immune response and limit autoreactivity. Multiple transcript variants encoding different isoforms have been found for this gene.

如果您使用该产品55107发表了文章,请通知我们,让我们可以引用您的文献。

et al,Spatial transcriptomics reveals prognostically LYZ+ fibroblasts and colocalization with FN1+ macrophages in diffuse large B-cell lymphoma. , (2025),
PMID: 39998673

注释

应用

  • WB免疫印迹
  • IHC免疫组化
  • IF免疫荧光
  • ICC免疫细胞化学
  • FC流式细胞
  • IP免疫沉淀
  • E酶联免疫吸附法
  • DB免疫斑点法
  • ChIP染色质免疫沉淀
  • GICA胶体金免疫层析法
  • NC阴性对照

种属反应性

  • Hu
  • Ms小鼠
  • Rt大鼠
  • Dm果蝇
  • C线虫
  • Mk
  • Rb
  • B
  • D
  • P
  • Hm仓鼠
  • ChHm中国仓鼠
  • Chk
;

联系我们

Location :

南京市高新开发区星火路10号人才大厦C座

Phone :

400-9961-933
025-58868422

Email Address

info@sabbiotech.com