免费电话:400-9961-933
邮箱:info@sabbiotech.com
欢迎光临本站
川博智能体 English
位置: 首页 > 多克隆抗体 > ADAM12 Rabbit Polyclonal Antibody

ADAM12 Rabbit Polyclonal Antibody #55383

是否有货: Yes
产品详情

产品名称ADAM12 Rabbit Polyclonal Antibody

来源种属Rabbit

克隆性Polyclonal

亚型IgG

纯化Affinity purification

应用WB,IHC,IF

种属反应性Human;Mouse;Rat

免疫原描述Recombinant fusion protein of human ADAM12 (NP_067673.2).

标记Unconjugated

别名ADAM12;ADAM12-OT1;CAR10;MCMP;MCMPMltna;MLTN;MLTNA

数据库入口号Swiss Prot:O43184
GeneID:8038

Uniprot O43184

计算分子量80kDa/99kDa

实际分子量100kDa

配方Buffer: PBS with 0.02% sodium azide,50% glycerol,pH7.3.

保存Store at -20˚C. Avoid freeze / thaw cycles.

应用详情
WB 1:500 - 1:2000
IHC 1:100 - 1:200
IF 1:50 - 1:200
Immunofluorescence analysis of C6 cells using ADAM12 at dilution of 1:100. Blue: DAPI for nuclear staining.
Immunofluorescence analysis of HeLa cells using ADAM12 at dilution of 1:100. Blue: DAPI for nuclear staining.
Immunofluorescence analysis of NIH/3T3 cells using ADAM12 at dilution of 1:100. Blue: DAPI for nuclear staining.
Western blot analysis of extracts of various cell lines, using ADAM12 at 1:1000 dilution.
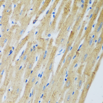
Immunohistochemistry of paraffin-embedded rat heart using ADAM12 at dilution of 1:100 (40x lens).
This gene encodes a member of a family of proteins that are structurally related to snake venom disintegrins and have been implicated in a variety of biological processes involving cell-cell and cell-matrix interactions, including fertilization, muscle development, and neurogenesis. Expression of this gene has been used as a maternal serum marker for pre-natal development. Alternative splicing results in multiple transcript variants encoding different isoforms. Shorter isoforms are secreted, while longer isoforms are membrane-bound form.

如果您使用该产品55383发表了文章,请通知我们,让我们可以引用您的文献。

et al,ADAM12 promotes temozolomide resistance in glioblastoma by activating the TNF-α-NF-κB pathway , (2025),
PMID: 40180114

注释

应用

  • WB免疫印迹
  • IHC免疫组化
  • IF免疫荧光
  • ICC免疫细胞化学
  • FC流式细胞
  • IP免疫沉淀
  • E酶联免疫吸附法
  • DB免疫斑点法
  • ChIP染色质免疫沉淀
  • GICA胶体金免疫层析法
  • NC阴性对照

种属反应性

  • Hu
  • Ms小鼠
  • Rt大鼠
  • Dm果蝇
  • C线虫
  • Mk
  • Rb
  • B
  • D
  • P
  • Hm仓鼠
  • ChHm中国仓鼠
  • Chk
;

联系我们

Location :

南京市高新开发区星火路10号人才大厦C座

Phone :

400-9961-933
025-58868422

Email Address

info@sabbiotech.com