免费电话:400-9961-933
邮箱:info@sabbiotech.com
欢迎光临本站
川博智能体 English
位置: 首页 > 多克隆抗体 > cGAS Rabbit Polyclonal Antibody

cGAS Rabbit Polyclonal Antibody #55482

是否有货: Yes
产品详情

产品名称cGAS Rabbit Polyclonal Antibody

来源种属Rabbit

克隆性Polyclonal

亚型IgG

纯化Affinity purification

应用WB;IHC;IF

种属反应性Human;Mouse;Rat

免疫原描述Recombinant fusion protein of human cGAS (NP_612450.2).

标记Unconjugated

别名MB21D1;C6orf150;cGAS;h-cGAS;CGAS

数据库入口号Swiss Prot:Q8N884
Gene ID:115004

Uniprot Q8N884

Gene ID 115004

计算分子量59 kDa

实际分子量62 kDa

浓度2.5mg/ml

配方PBS with 0.09% Sodium azide, 50% glycerol, pH7.3.

保存Store at -20˚C. Avoid freeze / thaw cycles.

应用详情
WB 1:500-1:1000;
IHC 1:50-1:200;
IF 1:50-1:200;
Western blot analysis of lysates from HT-29 cells using cGAS Rabbit pAb at 1:1000 dilution incubated overnight at 4℃.
Western blot analysis of lysates from THP-1 cells using cGAS Rabbit pAb at 1:1000 dilution incubated overnight at 4℃.
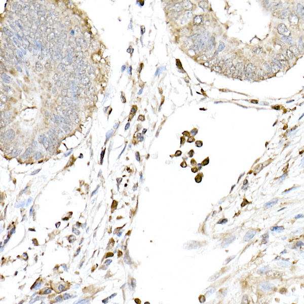
Immunohistochemistry analysis of paraffin-embedded Human colon carcinoma using cGAS Rabbit pAb at dilution of 1:50 (40x lens).
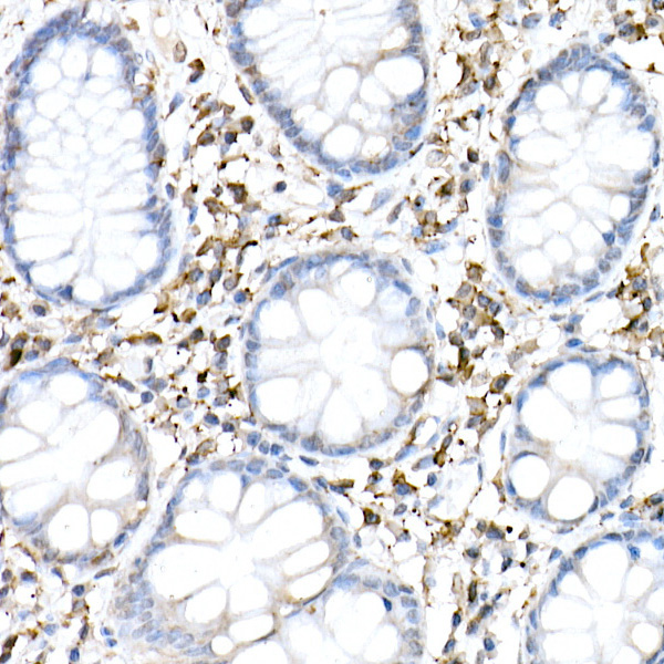
Immunohistochemistry analysis of paraffin-embedded Human colon using cGAS Rabbit pAb at dilution of 1:50 (40x lens).
Immunofluorescence analysis of NIH/3T3 cells using cGAS Rabbit pAb at dilution of 1:50 (40x lens).
Immunofluorescence analysis of PC-12 cells using cGAS Rabbit pAb at dilution of 1:50 (40x lens).
_

如果您使用该产品55482发表了文章,请通知我们,让我们可以引用您的文献。

et al,Nucleus-targeted ruthenium(II) complex triggers immunogenic cell death and sensitizes melanoma to anti-PD-1 therapy by activating cGAS-STING pathway. , (2025),
PMID: 40022761

注释

应用

  • WB免疫印迹
  • IHC免疫组化
  • IF免疫荧光
  • ICC免疫细胞化学
  • FC流式细胞
  • IP免疫沉淀
  • E酶联免疫吸附法
  • DB免疫斑点法
  • ChIP染色质免疫沉淀
  • GICA胶体金免疫层析法
  • NC阴性对照

种属反应性

  • Hu
  • Ms小鼠
  • Rt大鼠
  • Dm果蝇
  • C线虫
  • Mk
  • Rb
  • B
  • D
  • P
  • Hm仓鼠
  • ChHm中国仓鼠
  • Chk
;

联系我们

Location :

南京市高新开发区星火路10号人才大厦C座

Phone :

400-9961-933
025-58868422

Email Address

info@sabbiotech.com