免费电话:400-9961-933
邮箱:info@sabbiotech.com
欢迎光临本站
川博智能体 English
位置: 首页 > 多克隆抗体 > TAF15 Rabbit Polyclonal Antibody

TAF15 Rabbit Polyclonal Antibody #55523

是否有货: Yes
产品详情

产品名称TAF15 Rabbit Polyclonal Antibody

来源种属Rabbit

克隆性Polyclonal

亚型IgG

纯化Affinity purification

应用WB,IHC,IF

种属反应性Human

免疫原描述Recombinant fusion protein of human TAF15 (NP_631961.1).

标记Unconjugated

别名TAF15;Npl3;RBP56;TAF2N;TAFII68

数据库入口号Uniprot:Q92804
GeneID:8148

Uniprot Q92804

Gene ID 8148

计算分子量61kDa

实际分子量80kDa

配方PBS with 0.02% sodium azide,50% glycerol,pH7.3.

保存Store at -20˚C. Avoid freeze / thaw cycles.

应用详情
WB 1:500 - 1:2000
IHC 1:50 - 1:100
IF 1:50 - 1:200
Western blot analysis of extracts of various cell lines, using TAF15 antibody.
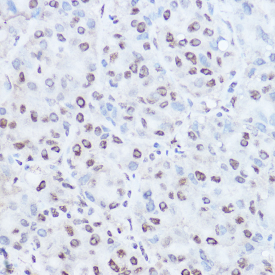
Immunohistochemistry of paraffin-embedded human liver cancer using TAF15 Rabbit pAb.
This gene encodes a member of the TET family of RNA-binding proteins. The encoded protein plays a role in RNA polymerase II gene transcription as a component of a distinct subset of multi-subunit transcription initiation factor TFIID complexes. Translocations involving this gene play a role in acute leukemia and extraskeletal myxoid chondrosarcoma, and mutations in this gene may play a role in amyotrophic lateral sclerosis. Alternatively spliced transcript variants encoding multiple isoforms have been observed for this gene.

如果您使用该产品55523发表了文章,请通知我们,让我们可以引用您的文献。

et al,Neuregulin 2 reversed astrocytosis in the spinal cord in a mouse model of Alzheimer's disease , (2025),
PMID: 40755338

注释

应用

  • WB免疫印迹
  • IHC免疫组化
  • IF免疫荧光
  • ICC免疫细胞化学
  • FC流式细胞
  • IP免疫沉淀
  • E酶联免疫吸附法
  • DB免疫斑点法
  • ChIP染色质免疫沉淀
  • GICA胶体金免疫层析法
  • NC阴性对照

种属反应性

  • Hu
  • Ms小鼠
  • Rt大鼠
  • Dm果蝇
  • C线虫
  • Mk
  • Rb
  • B
  • D
  • P
  • Hm仓鼠
  • ChHm中国仓鼠
  • Chk
;

联系我们

Location :

南京市高新开发区星火路10号人才大厦C座

Phone :

400-9961-933
025-58868422

Email Address

info@sabbiotech.com