免费电话:400-9961-933
邮箱:info@sabbiotech.com
欢迎光临本站
川博智能体 English
位置: 首页 > 重组兔单抗 > HIF-1 alpha Rabbit mAb

HIF-1 alpha Rabbit mAb #56033

是否有货: Yes
产品详情

产品名称HIF-1 alpha Rabbit mAb

来源种属Recombinant Rabbit

克隆性Monoclonal

亚型Rabbit IgG

纯化Affinity-chromatography

应用WB IHC ICC/IF IP FC

种属反应性Human

特异性HIF-1 alpha Antibody detects endogenous levels of total HIF-1 alpha

免疫原描述A synthesized peptide derived from human HIF-1 alpha

标记Unconjugated

别名HIF1; MOP1; PASD8; bHLHe78; HIF-1alpha; HIF1-ALPHA; HIF1A

数据库入口号Uniprot:Q16665

Uniprot Q16665

计算分子量120kDa

配方Rabbit IgG in phosphate buffered saline , pH 7.4, 150mM NaCl, 0.02% sodium azide and 50% glycerol.

保存Store at +4˚C short term. Store at -20˚C long term. Avoid freeze / thaw cycle.

应用详情
WB:1:500~1:2000
IHC:1:50~1:200
ICC/IF:1:50~1:200
IP:1:30
FC:1:30
Western blot analysis of HIF-1 alpha expression in Ramos cell lysate.
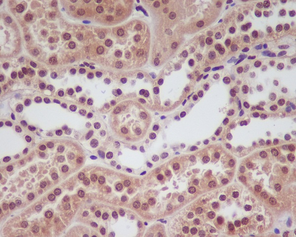
Immunohistochemical analysis of paraffin-embedded human kindey, using HIF-1 alpha Antibody.
Immunofluorescent analysis of Hela cells, using HIF-1 alpha Antibody.

如果您使用该产品56033发表了文章,请通知我们,让我们可以引用您的文献。

et al,Biodegradable iridium coordinated nanodrugs potentiate photodynamic therapy and immunotherapy of lung cancer. , (2025),
PMID: 39488900

注释

应用

  • WB免疫印迹
  • IHC免疫组化
  • IF免疫荧光
  • ICC免疫细胞化学
  • FC流式细胞
  • IP免疫沉淀
  • E酶联免疫吸附法
  • DB免疫斑点法
  • ChIP染色质免疫沉淀
  • GICA胶体金免疫层析法
  • NC阴性对照

种属反应性

  • Hu
  • Ms小鼠
  • Rt大鼠
  • Dm果蝇
  • C线虫
  • Mk
  • Rb
  • B
  • D
  • P
  • Hm仓鼠
  • ChHm中国仓鼠
  • Chk
;

联系我们

Location :

南京市高新开发区星火路10号人才大厦C座

Phone :

400-9961-933
025-58868422

Email Address

info@sabbiotech.com