免费电话:400-9961-933
邮箱:info@sabbiotech.com
欢迎光临本站
川博智能体 English
位置: 首页 > 重组兔单抗 > p62/SQSTM1 Rabbit mAb

p62/SQSTM1 Rabbit mAb #56089

是否有货: Yes
产品详情

产品名称p62/SQSTM1 Rabbit mAb

来源种属Recombinant Rabbit

克隆性Monoclonal

亚型Rabbit IgG

纯化Affinity-chromatography

应用WB, ICC/IF, IHC

种属反应性Human;Mouse;Rat

特异性p62/SQSTM1 Antibody detects endogenous levels of total p62/SQSTM1

免疫原描述A synthesized peptide derived from human p62/SQSTM1

标记Unconjugated

别名OSIL; Oxidative stress induced like; p60; p62; p62B; Paget disease of bone 3;PDB 3; PDB3;

数据库入口号Uniprot:Q13501

Uniprot Q13501

计算分子量48kDa

实际分子量62kDa

配方Rabbit IgG in phosphate buffered saline , pH 7.4, 150mM NaCl, 0.02% sodium azide and 50% glycerol.

保存Store at +4˚C short term. Store at -20˚C long term. Avoid freeze / thaw cycle.

应用详情
WB: 1:500-1:2000
ICC/IF: 1:50-1:200
IHC: 1:50-1:200
Western blot analysis of p62/SQSTM1 expression in SKBR-3 cell lysate.
Immunofluorescent analysis of Hela cells, using p62/SQSTM1 Antibody.
All lanes : p62/SQSTM1 Rabbit mAb at 1/1k dilution
Lane 1 : A549 cell lysate
Lane 2 : JK cell lysate
Lane 3 : 3T3 cell lysate
Lane 4 : PC12 cell lysate
Lysates/proteins at 20 µg per lane.
Predicted band size: 48kDa
Observed band size: 62kDa
All lanes : p62/SQSTM1 Rabbit mAb at 1/1k dilution
Lane 1 : Wild-type HAP1 cell lysate
Lane 2 : p62/SQSTM1 knockout HAP1 cell lysate
Lysates/proteins at 20 µg per lane.
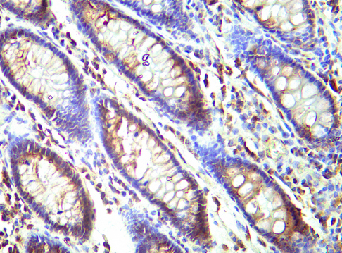
Formalin-fixed, paraffin-embedded Human colon carcinoma tissue stained for p62/SQSTM1 using 56089 at 1/100 dilution in immunohistochemical analysis.

如果您使用该产品56089发表了文章,请通知我们,让我们可以引用您的文献。

et al,MAPK14/AIFM2 pathway regulates mitophagy-dependent apoptosis to improve atrial fibrillation , (2024),
PMID:

注释

应用

  • WB免疫印迹
  • IHC免疫组化
  • IF免疫荧光
  • ICC免疫细胞化学
  • FC流式细胞
  • IP免疫沉淀
  • E酶联免疫吸附法
  • DB免疫斑点法
  • ChIP染色质免疫沉淀
  • GICA胶体金免疫层析法
  • NC阴性对照

种属反应性

  • Hu
  • Ms小鼠
  • Rt大鼠
  • Dm果蝇
  • C线虫
  • Mk
  • Rb
  • B
  • D
  • P
  • Hm仓鼠
  • ChHm中国仓鼠
  • Chk
;

联系我们

Location :

南京市高新开发区星火路10号人才大厦C座

Phone :

400-9961-933
025-58868422

Email Address

info@sabbiotech.com