免费电话:400-9961-933
邮箱:info@sabbiotech.com
欢迎光临本站
川博智能体 English
位置: 首页 > 重组兔单抗 > Acetyl-CoA Carboxylase Rabbit mAb

Acetyl-CoA Carboxylase Rabbit mAb #56097

是否有货: Yes
产品详情

产品名称Acetyl-CoA Carboxylase Rabbit mAb

来源种属Recombinant Rabbit

克隆性Monoclonal

亚型Rabbit IgG

纯化Affinity-chromatography

应用WB IHC

种属反应性Human;Mouse;Rat

特异性Acetyl-CoA Carboxylase Antibody detects endogenous levels of total Acetyl-CoA Carboxylase

免疫原描述A synthesized peptide derived from human Acetyl-CoA Carboxylase

标记Unconjugated

别名ACAC; ACACA; ACACB; ACC; ACC-alpha; ACC1; ACC2; ACCA; ACCB; Acetyl-CoA carboxylase 1; Biotin carboxylase;

数据库入口号Uniprot:Q13085/O00763

Uniprot Q13085/O00763

计算分子量265kDa

配方Rabbit IgG in phosphate buffered saline , pH 7.4, 150mM NaCl, 0.02% sodium azide and 50% glycerol.

保存Store at +4˚C short term. Store at -20˚C long term. Avoid freeze / thaw cycle.

应用详情
WB:1:1000~1:2000
IHC:1:50~1:200
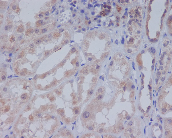
Immunohistochemical analysis of paraffin-embedded human kidney, using Acetyl-CoA Carboxylase Antibody.

如果您使用该产品56097发表了文章,请通知我们,让我们可以引用您的文献。

et al,Exploration of the lactation function of protein phosphorylation sites in goat mammary tissues by phosphoproteome analysis , (2021),
PMID: 34583635

注释

应用

  • WB免疫印迹
  • IHC免疫组化
  • IF免疫荧光
  • ICC免疫细胞化学
  • FC流式细胞
  • IP免疫沉淀
  • E酶联免疫吸附法
  • DB免疫斑点法
  • ChIP染色质免疫沉淀
  • GICA胶体金免疫层析法
  • NC阴性对照

种属反应性

  • Hu
  • Ms小鼠
  • Rt大鼠
  • Dm果蝇
  • C线虫
  • Mk
  • Rb
  • B
  • D
  • P
  • Hm仓鼠
  • ChHm中国仓鼠
  • Chk
;

联系我们

Location :

南京市高新开发区星火路10号人才大厦C座

Phone :

400-9961-933
025-58868422

Email Address

info@sabbiotech.com