免费电话:400-9961-933
邮箱:info@sabbiotech.com
欢迎光临本站
川博智能体 English
位置: 首页 > 磷酸化抗体 > Recombinant Tau(Phospho-Thr181) Rabbit mAb(G69)

Recombinant Tau(Phospho-Thr181) Rabbit mAb(G69) #58002

是否有货: Yes
产品详情

产品名称Recombinant Tau(Phospho-Thr181) Rabbit mAb(G69)

克隆号G69

来源种属Recombinant Rabbit

克隆性Monoclonal

亚型IgG

纯化Affinity purification

应用ELISA,WB,IHC,IF

种属反应性Human;Mouse;Rat

特异性The antibody detects endogenous level of Tau only when phosphorylated at threonine 181.

免疫原类型Peptide

免疫原描述Peptide sequence around phosphorylation site of threonine 181 derived from Human Tau.

基因/蛋白名称Tau

标记Unconjugated

别名MAPT; MTAPT; MTBT1; Neurofibrillary tangle protein; PHF-tau

数据库入口号Swiss-Prot: P10636
NCBI Protein: NP _001116538.1

Uniprot P10636

计算分子量48 62 78 kDa

实际分子量50-80kDa

浓度0.8 mg/ml

配方PBS with 0.02% sodium azide,pH7.3.

保存Upon delivery aliquot and store at -20 °C for one year. Avoid freeze/thaw cycles.

应用详情
Elisa:1:10000
WB: 1:500~1:1000
IHC: 1:50-1:200
IF: 1:50-1:200
Western blot analysis of extracts from 293 cells, transfected with Tau and treated with calf intestinal phosphatase (CIP) using Tau(Phospho-Thr181) Rabbit mAb.
All lanes : Recombinant Tau(Phospho-Thr181) Rabbit mAb at 1/1k dilution
Lane 1 : Wild-type HAP1 cell lysate
Lane 2 : Tau(Phospho-Thr181) knockout HAP1 cell lysate
Lane 3 : Mouse Brain lysates
Lane 4 : Rat Brain lysates
Lysates/proteins at 20 µg per lane.
Secondary
All lanes : Goat Anti-Rabbit IgG H&L (HRP) at 1/20000 dilution
Predicted band size: 79 kDa
Observed band size: 50-80 kDa
Exposure time: 7 seconds Lysates/proteins at 20 µg per lane.
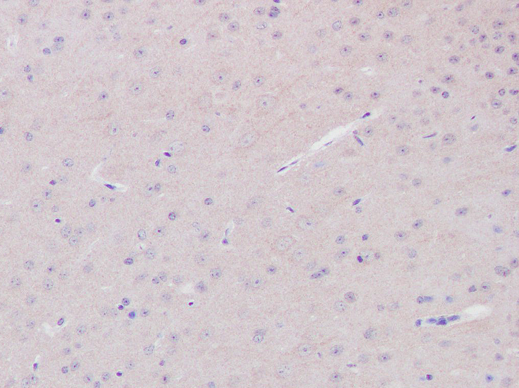
Formalin-fixed, paraffin-embedded Mouse brain tissue stained for Tau(Phospho-Thr181) using 58002 at 1/50 dilution in immunohistochemical analysis.
Immunocytochemistry/ Immunofluorescence Tau(Phospho-Thr181) antibody (58002)
ICC/IF staining of Tau(Phospho-Thr181) in mouse brain tissue. mouse brain was fixed with 4% Paraformaldehyde permeabilized for 20 minutes.
Samples were incubated with 58002 at a working dilution of 1/50. The secondary antibody was Alexa Fluor 647 goat anti rabbit, used at a dilution of 1/500.
Nuclei were counterstained with DAPI.
Immunocytochemistry/ Immunofluorescence Tau(Phospho-Thr181) antibody (58002)
ICC/IF staining of Tau(Phospho-Thr181) in mouse brain tissue. mouse brain was fixed with 4% Paraformaldehyde permeabilized for 20 minutes.
Samples were incubated with 58002 at a working dilution of 1/50. The secondary antibody was Alexa Fluor 647 goat anti rabbit, used at a dilution of 1/500.
Nuclei were counterstained with DAPI.

  Promotes microtubule assembly and stability, and might be involved in the establishment and maintenance of neuronal polarity. The C-terminus binds axonal microtubules while the N-terminus binds neural plasma membrane components, suggesting that tau functions as a linker protein between both. Axonal polarity is predetermined by tau localization (in the neuronal cell) in the domain of the cell body defined by the centrosome. The short isoforms allow plasticity of the cytoskeleton whereas the longer isoforms may preferentially play a role in its stabilization. 

Puig B, et al.(2005) Acta Neuropathol (Berl). 110(3):261-268. 
 

如果您使用该产品58002发表了文章,请通知我们,让我们可以引用您的文献。

et al,Fusobacterium nucleatum infection-induced neurodegeneration and abnormal gut microbiota composition in Alzheimer's disease-like rats , (2022),
PMID: 36188448

注释

应用

  • WB免疫印迹
  • IHC免疫组化
  • IF免疫荧光
  • ICC免疫细胞化学
  • FC流式细胞
  • IP免疫沉淀
  • E酶联免疫吸附法
  • DB免疫斑点法
  • ChIP染色质免疫沉淀
  • GICA胶体金免疫层析法
  • NC阴性对照

种属反应性

  • Hu
  • Ms小鼠
  • Rt大鼠
  • Dm果蝇
  • C线虫
  • Mk
  • Rb
  • B
  • D
  • P
  • Hm仓鼠
  • ChHm中国仓鼠
  • Chk
;

联系我们

Location :

南京市高新开发区星火路10号人才大厦C座

Phone :

400-9961-933
025-58868422

Email Address

info@sabbiotech.com