免费电话:400-9961-933
邮箱:info@sabbiotech.com
欢迎光临本站
川博智能体 English
位置: 首页 > 鼠单克隆抗体 > Myeloperoxidase(MPO) (ABT-MPO) mouse mAb

Myeloperoxidase(MPO) (ABT-MPO) mouse mAb #58495

是否有货: Yes
产品详情

产品名称Myeloperoxidase(MPO) (ABT-MPO) mouse mAb

来源种属Mouse

克隆性Monoclonal

亚型IgG2a, Kappa

纯化The antibody was affinity-purified from mouse ascites by affinity-chromatography using specific immunogen.

应用WB;IHC;IF

种属反应性Human; Mouse, Rat

特异性This antibody detects endogenous levels of human Myeloperoxidase(MPO). Heat-induced epitope retrieval (HIER) Citrate buffer of pH6.0 was highly recommended as antigen repair method in paraffin section

免疫原描述Synthesized peptide derived from human Myeloperoxidase(MPO)

标记Unconjugated

别名MPO

Uniprot P05164

Gene ID 4353

浓度1mg/mL

配方Liquid in PBS containing 50% glycerol, 0.5% BSA and 0.02% sodium azide.

保存Store at -20℃/1 year

应用详情

WB 1:200-1000
IHC-p 1:100-500
IF 1:50-200

HL60 whole cell lysates were separated by 12% SDS-PAGE, and the membrane was blotted with anti-MPO(ABT-MPO)antibody.
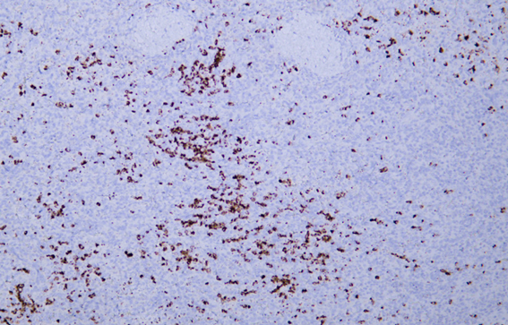
Human spleen tissue was stained with Anti-Myeloperoxidase (ABT-MPO) Antibody

如果您使用该产品58495发表了文章,请通知我们,让我们可以引用您的文献。

et al,Oral delivery of Clostridium butyricum using selective antibacterial lipids for enhanced treatment of Fusobacterium nucleatum-associated intestinal diseases , (2025),
PMID:

注释

应用

  • WB免疫印迹
  • IHC免疫组化
  • IF免疫荧光
  • ICC免疫细胞化学
  • FC流式细胞
  • IP免疫沉淀
  • E酶联免疫吸附法
  • DB免疫斑点法
  • ChIP染色质免疫沉淀
  • GICA胶体金免疫层析法
  • NC阴性对照

种属反应性

  • Hu
  • Ms小鼠
  • Rt大鼠
  • Dm果蝇
  • C线虫
  • Mk
  • Rb
  • B
  • D
  • P
  • Hm仓鼠
  • ChHm中国仓鼠
  • Chk
;

联系我们

Location :

南京市高新开发区星火路10号人才大厦C座

Phone :

400-9961-933
025-58868422

Email Address

info@sabbiotech.com