免费电话:400-9961-933
邮箱:info@sabbiotech.com
欢迎光临本站
川博智能体 English
位置: 首页 > 鼠单克隆抗体 > Phosphoserine Monoclonal Antibody(5B12)

Phosphoserine Monoclonal Antibody(5B12) #12828

是否有货: 有货
产品详情

产品名称Phosphoserine Monoclonal Antibody(5B12)

克隆号5B12

来源种属Mouse

克隆性Monoclonal

亚型IgG1

应用WB IHC IF

特异性The antibody detects endogenous Phosphoserine protein.

免疫原类型Recombinant Protein

免疫原描述Recombinant Protein

基因/蛋白名称Phosphoserine

标记Unconjugated

浓度1mg/ml

配方Liquid in PBS containing 50% glycerol, 0.5% BSA and 0.02% sodium azide.

保存Store at -20˚C/1 year

应用详情

Western blotting: 1:2000-1:5000
Immunohistochemistry: 1:50-1:200

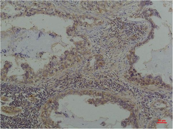
Immunohistochemical analysis of paraffin-embedded Human Lung Caricnoma using Phosphoserine Mouse mAb diluted at 1:200.
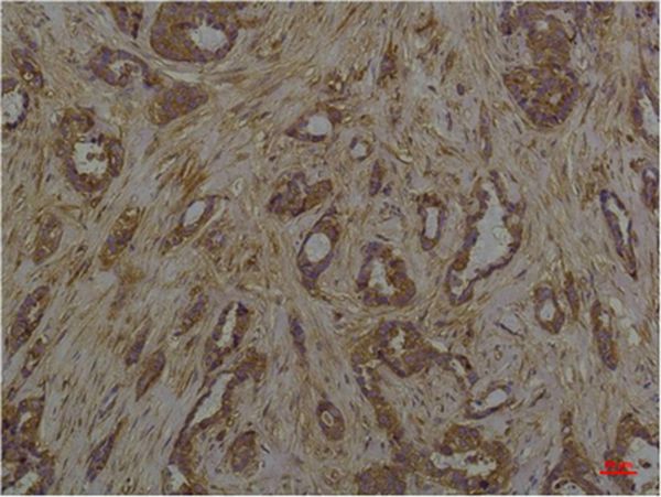
Immunohistochemical analysis of paraffin-embedded Human Breast Caricnoma using Phosphoserine Mouse mAb diluted at 1:200.
Western blot analysis of 1) Hela, 2)Rat Brain Tissue, 3) Mouse Brain Tissue with Phosphoserine Mouse mAb diluted at 1:2,000.

如果您使用该产品12828发表了文章,请通知我们,让我们可以引用您的文献。

et al,lncRNA‐encoded pep‐AP attenuates the pentose phosphate pathway and sensitizes colorectal cancer cells to Oxaliplatin. In EMBO Rep on 2022 Jan 5 by Xinyi Wang, Haiyang Zhang, et al..PMID:34779552 , (2022),
PMID: 34779552

注释

应用

  • WB免疫印迹
  • IHC免疫组化
  • IF免疫荧光
  • ICC免疫细胞化学
  • FC流式细胞
  • IP免疫沉淀
  • E酶联免疫吸附法
  • DB免疫斑点法
  • ChIP染色质免疫沉淀
  • GICA胶体金免疫层析法
  • NC阴性对照

种属反应性

  • Hu
  • Ms小鼠
  • Rt大鼠
  • Dm果蝇
  • C线虫
  • Mk
  • Rb
  • B
  • D
  • P
  • Hm仓鼠
  • ChHm中国仓鼠
  • Chk
;

联系我们

Location :

南京市高新开发区星火路10号人才大厦C座

Phone :

400-9961-933
025-58868422

Email Address

info@sabbiotech.com