免费电话:400-9961-933
邮箱:info@sabbiotech.com
欢迎光临本站
川博智能体 English
位置: 首页 > 磷酸化抗体 > FOXO3a(Phospho-S253) Rabbit mAb

FOXO3a(Phospho-S253) Rabbit mAb #13372

是否有货: Yes
产品详情

产品名称FOXO3a(Phospho-S253) Rabbit mAb

克隆号ST49-01

来源种属Recombinant Rabbit

克隆性Monoclonal

纯化ProA affinity purified

应用WB;ICC/IF;IHC

种属反应性Human;Mouse;Rat

免疫原描述Synthetic phospho-peptide corresponding to residues surrounding Ser253 of human FOXO3a.

标记Unconjugated

别名AF6q21 antibody
AF6q21 protein antibody
DKFZp781A0677 antibody
FKHR2 antibody
FKHRL 1 antibody
FKHRL1 antibody
FKHRL1P2 antibody
Forkhead (Drosophila) homolog (rhabdomyosarcoma) like 1 antibody
Forkhead box O3 antibody
Forkhead box O3A antibody
Forkhead box protein O3 antibody
Forkhead box protein O3A antibody
Forkhead Drosophila homolog of in rhabdomyosarcoma like 1 antibody
Forkhead homolog (rhabdomyosarcoma) like 1 antibody
Forkhead in rhabdomyosarcoma like 1 antibody
Forkhead in rhabdomyosarcoma-like 1 antibody
FOX O3A antibody
FOXO2 antibody
foxo3 antibody
FOXO3_HUMAN antibody
FOXO3A antibody
MGC12739 antibody
MGC31925 antibody

数据库入口号Swiss-Prot#:O43524

Uniprot O43524

计算分子量71 kDa

实际分子量90 kDa

配方1*TBS (pH7.4), 1%BSA, 40%Glycerol. Preservative: 0.05% Sodium Azide.

保存Store at -20˚C

应用详情
WB: 1:500-1:2000
ICC/IF: 1:50-1:200
IHC: 1:50-1:200
All lanes : FOXO3A (Phospho-Ser253) Rabbit mAb at 1/1k dilution
Lane 1 : K562 whole cell lysates
Lane 2 : C6 whole cell lysates
Lane 3 : 3T3 whole cell lysates
Lane 4 : 3T3 treated with Lambda Protein Phosphatase for 30min whole cell
Lysates/proteins at 20 µg per lane.
Secondary
All lanes : Goat Anti-Rabbit IgG H&L (HRP) at 1/20000 dilution
Predicted band size: 71 kDa
Observed band size: 90 kDa
Exposure time: 6 seconds
All lanes : FOXO3a(Phospho-S253) Rabbit mAb at 1/1k dilution
Lane 1 : Hela whole cell lysates
Lane 2 : PC12 whole cell lysates
Lane 3 : MCF7 whole cell lysates
Lane 4 : Mouse liver lysates
Lysates/proteins at 20 µg per lane.
Secondary
All lanes : Goat Anti-Rabbit IgG H&L (HRP) at 1/20000 dilution
Predicted band size: 71 kDa
Observed band size: 90 kDa
Exposure time: 12 seconds
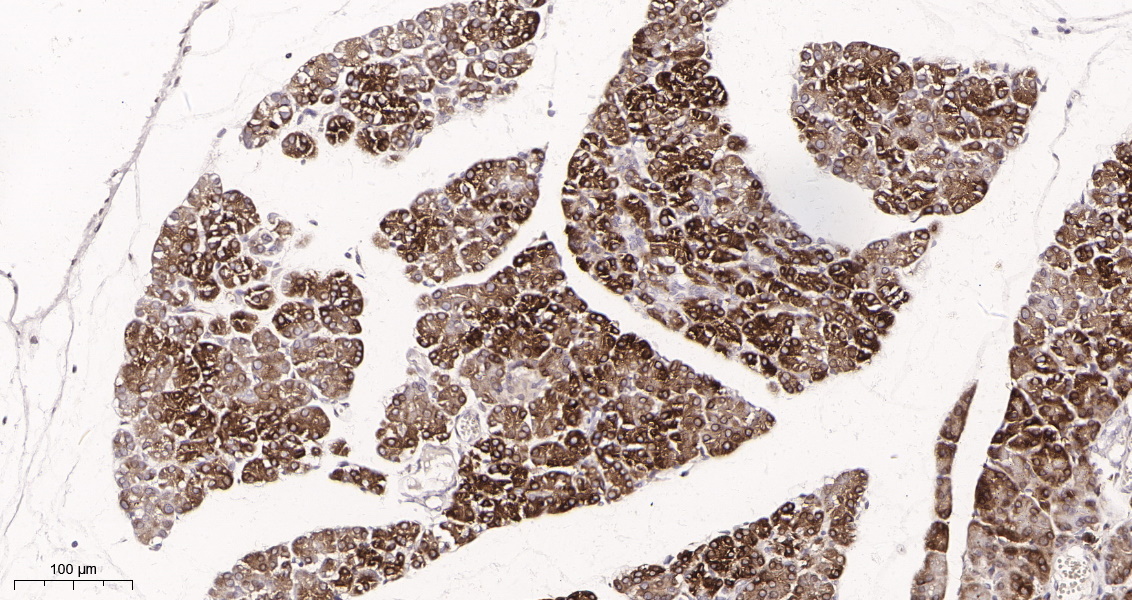
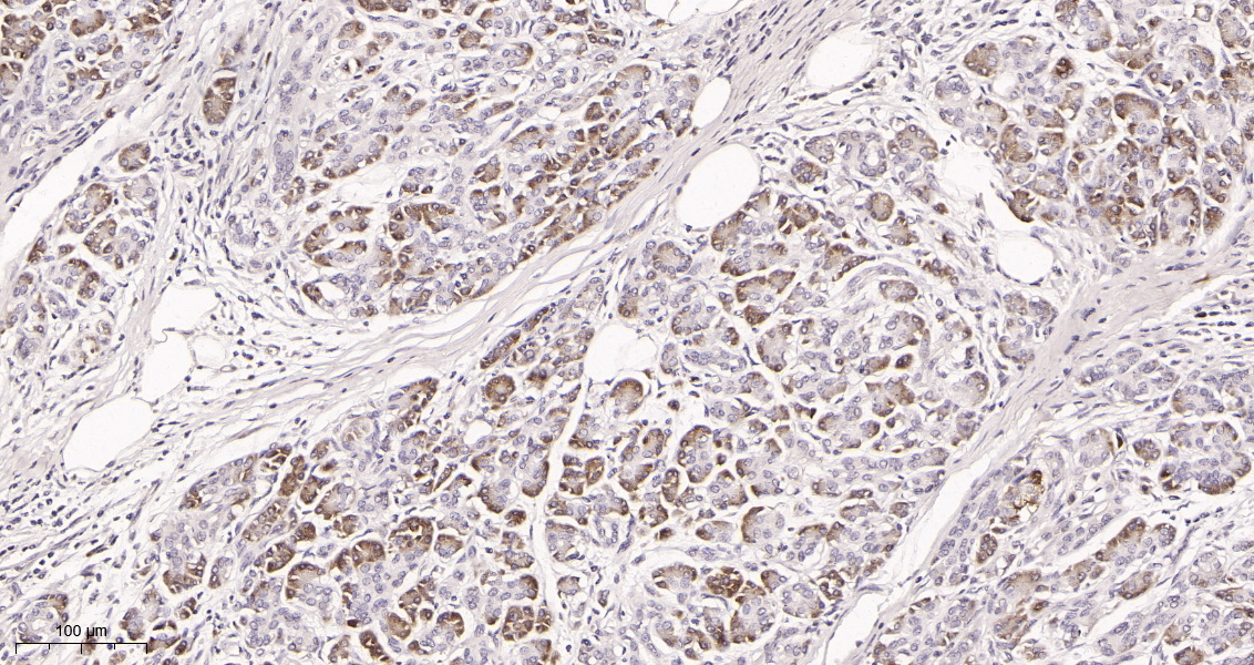
Formalin-fixed;paraffin-embedded human pancreas tissue stained for FOXO3a(Phospho-S253) using 13372 at 1/100 dilution in immunohistochemical analysis.
Formalin-fixed;paraffin-embedded mouse pancreas tissue stained for FOXO3a(Phospho-S253) using 13372 at 1/100 dilution in immunohistochemical analysis.
Formalin-fixed;paraffin-embedded rat pancreas tissue stained for FOXO3a(Phospho-S253) using 13372 at 1/100 dilution in immunohistochemical analysis.
Immunocytochemistry/ Immunofluorescence FOXO3a(Phospho-S253) antibody (13372)
ICC/IF staining of FOXO3a(Phospho-S253) in HeLa cells. Cells were fixed with 4% Paraformaldehyde permeabilized with 0.1% Triton X-100.
Samples were incubated with 13372 at a working dilution of 1/100. The secondary antibody was Alexa Fluor® 647 goat anti rabbit;used at a dilution of 1/500.
Nuclei were counterstained with DAPI.

FKHRL1 (for forkhead in rhabdomyosarcoma) is a member of the FKHR subfamily of forkhead transcription factors. Transcriptional activation of FKHR proteins is regulated by the serine/threonine kinase Akt1, which phosphorylates FKHRL1 at threonine-32 and serine-253. Phosphorylation by Akt1 negatively regulates FKHRL1 by promoting its export from the nucleus. Phosphorylated FKHRL1 associates with 14-3-3 proteins and this complex is retained in the cytoplasm. Growth factor withdrawal stimulates FKHRL1 dephosphorylation and nuclear translocation, leading to FKHR-induced gene-specific transcriptional activation. Within the nucleus, dephospho-rylated FKHRL1 triggers apoptosis by inducing the expression of genes that are critical for cell death.

如果您使用该产品13372发表了文章,请通知我们,让我们可以引用您的文献。

et al, Overexpression of astrocyte-elevated gene-1 is associated with ovarian cancer development and progression.In Mol Med Rep on 2015 Apr by Bo Zhou , Jue Yang et al..PMID:25483832 , (2015),
PMID: 25483832
et al,Tomatidine Ameliorates Diabetes‐Induced Cognitive Impairment and Tau Hyperphosphorylation Through the AMPK‐TFEB Pathway , (2025),
PMID: 40387453
et al,sIL-11 exacerbates cisplatin-induced acute kidney injury by facilitating apoptosis in renal tubular epithelial cells via ERK1/2-Drp1/TFEB-mediated defective autophagy , (2025),
PMID: 41115562

注释

应用

  • WB免疫印迹
  • IHC免疫组化
  • IF免疫荧光
  • ICC免疫细胞化学
  • FC流式细胞
  • IP免疫沉淀
  • E酶联免疫吸附法
  • DB免疫斑点法
  • ChIP染色质免疫沉淀
  • GICA胶体金免疫层析法
  • NC阴性对照

种属反应性

  • Hu
  • Ms小鼠
  • Rt大鼠
  • Dm果蝇
  • C线虫
  • Mk
  • Rb
  • B
  • D
  • P
  • Hm仓鼠
  • ChHm中国仓鼠
  • Chk
;

联系我们

Location :

南京市高新开发区星火路10号人才大厦C座

Phone :

400-9961-933
025-58868422

Email Address

info@sabbiotech.com