免费电话:400-9961-933
邮箱:info@sabbiotech.com
欢迎光临本站
川博智能体 English
位置: 首页 > 多克隆抗体 > cofilin Antibody

cofilin Antibody #21164

是否有货: 有货
产品详情

产品名称cofilin Antibody

来源种属Rabbit

克隆性Polyclonal

纯化Antibodies were produced by immunizing rabbits with synthetic peptide and KLH conjugates. Antibodies were purified by affinity-chromatography using epitope-specific peptide.

应用WB IHC

种属反应性Human;Mouse;Rat

特异性The antibody detects endogenous level of total cofilin protein.

免疫原类型Peptide-KLH

免疫原描述Peptide sequence around aa. 1~5 (M-A-S-G-V) derived from Human cofilin.

基因/蛋白名称cofilin

标记Unconjugated

别名CFL; CFL1; COF1; Cofilin;

数据库入口号Swiss-Prot: P23528
NCBI Protein: NP_005498.1

Uniprot P23528

浓度1.0mg/ml

配方Supplied at 1.0mg/mL in phosphate buffered saline (without Mg2+ and Ca2+), pH 7.4, 150mM NaCl, 0.02% sodium azide and 50% glycerol.

保存Store at -20°C for long term preservation (recommended). Store at 4°C for short term use.

应用详情

Predicted MW: 19kd
Western blotting: 1:500~1:1000
Immunohistochemistry: 1:50~1:100
 

Western blot analysis of extracts from MDA cells using cofilin(Ab-3) Antibody #21164.
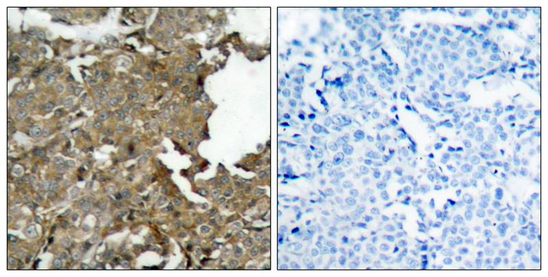
Immunohistochemical analysis of paraffin-embedded human breast carcinoma tissue using cofilin(Ab-3) Antibody #21164(left) or the same antibody preincubated with blocking peptide(right).

Controls reversibly actin polymerization and depolymerization in a pH-sensitive manner. It has the ability to bind G- and F-actin in a 1:1 ratio of cofilin to actin. It is the major component of intranuclear and cytoplasmic actin rods.

Kobayashi M, et al. (2006) EMBO J 25(4): 713-26.
Wang Y, et al. (2005)Biol Chem 280(13): 12683-9.
Smith-Beckerman DM, et al. (2005) Mol Cell Proteomics: 156-68.
 

如果您使用该产品21164发表了文章,请通知我们,让我们可以引用您的文献。

et al,DGCR6L, a novel PAK4 interaction protein, regulates PAK4-mediated migration of human gastric cancer cell via LIMK1. In Int J Biochem Cell Biol on 2010 Jan by Xiaodong Li, Qiang Ke, et al..PMID: 19778628 , (2010),
PMID: 19778628
et al,Regulation of cofilin phosphorylation and asymmetry in collective cell migration during morphogenesis. In Development on 2011 Feb by Lijun Zhang, Jun Luo, et al..PMID: 21205790 , (2011),
PMID: 21205790
et al,A Cardiomyocyte-Specific Wdr1 Knockout Demonstrates Essential Functional Roles for Actin Disassembly during Myocardial Growth and Maintenance in Mice.In Am J Pathol on 2014 Jul by Baiyin Yuan , Ping Wan et al..PMID: 24840128 , (2014),
PMID: 24840128
et al,Cofilin-mediated actin dynamics promotes actin bundle formation during Drosophila bristle development. In Mol Biol Cell on 2016 Aug 15 by Jing Wu, Heng Wang,et al..PMID:27385345 , (2016),
PMID: 27385345
et al,Fascin regulates nuclear actin during Drosophila oogenesis. In Mol Biol Cell on 2016 Oct 1 by Daniel J Kelpsch, Christopher M Groen,et al..PMID:27535426 , (2016),
PMID: 27535426
et al,Platelet-dependent signaling and Low Molecular Weight Protein Tyrosine Phosphatase expression promote aggressive phenotypic changes in gastrointestinal cancer cells. In Biochim Biophys Acta Mol Basis Dis on 2022 Jan 1 by Alessandra V S Faria, Bingting Yu, et al..PMID: 34610471 , (2022),
PMID: 34610471
et al,Physical Training vs. Perindopril Treatment on Arterial Stiffening of Spontaneously Hypertensive Rats: A Proteomic Analysis and Possible MechanismsInBiomedicinesOn2023 May 6byDanyelle Siqueira Miotto 1, Francine Duchatsch et al..PMID: 37239052 , (2023),
PMID: 37239052

注释

应用

  • WB免疫印迹
  • IHC免疫组化
  • IF免疫荧光
  • ICC免疫细胞化学
  • FC流式细胞
  • IP免疫沉淀
  • E酶联免疫吸附法
  • DB免疫斑点法
  • ChIP染色质免疫沉淀
  • GICA胶体金免疫层析法
  • NC阴性对照

种属反应性

  • Hu
  • Ms小鼠
  • Rt大鼠
  • Dm果蝇
  • C线虫
  • Mk
  • Rb
  • B
  • D
  • P
  • Hm仓鼠
  • ChHm中国仓鼠
  • Chk
;

联系我们

Location :

南京市高新开发区星火路10号人才大厦C座

Phone :

400-9961-933
025-58868422

Email Address

info@sabbiotech.com