免费电话:400-9961-933
邮箱:info@sabbiotech.com
欢迎光临本站
川博智能体 English
位置: 首页 > 多克隆抗体 > EGFR Antibody

EGFR Antibody #21222

是否有货: 有货
产品详情

产品名称EGFR Antibody

来源种属Rabbit

克隆性Polyclonal

纯化Antibodies were produced by immunizing rabbits with synthetic peptide and KLH conjugates. Antibodies were purified by affinity-chromatography using epitope-specific peptide.

应用WB;IHC

种属反应性Human;Mouse;Rat

特异性The antibody detects endogenous level of total EGFR protein.

免疫原类型Peptide-KLH

免疫原描述Peptide sequence around aa.867~871 (K-E-Y-H-A) derived from Human EGFR.

基因/蛋白名称EGFR

标记Unconjugated

别名 Receptor tyrosine-protein kinase ErbB-1; ERBB1;

数据库入口号Swiss-Prot: P00533
NCBI Protein: NP_005219.2

Uniprot P00533

计算分子量134 kDa

实际分子量175 kDa

浓度1.0mg/ml

配方Supplied at 1.0mg/mL in phosphate buffered saline (without Mg2+ and Ca2+), pH 7.4, 150mM NaCl, 0.02% sodium azide and 50% glycerol.

保存Store at -20°C for long term preservation (recommended). Store at 4°C for short term use.

应用详情
WB 1:500-1:2000; IHC 1:100-1:300;
Western blot analysis of lysates from HUVEC, HUVEC EGF and Hela EGF using EGFR Antibody.
Western blot analysis of lysates from Mouse liver, Hela and A549 using EGFR Antibody.
Immunohistochemical analysis of paraffin-embedded human breast carcinoma tissue using EGFR(Ab-869) Antibody (left) or the same antibody preincubated with blocking peptide(right).
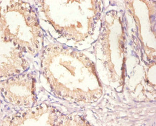
Immunohistochemistry of paraffin-embedded human prostate tissue using EGFR (ErbB 1) Antibody.
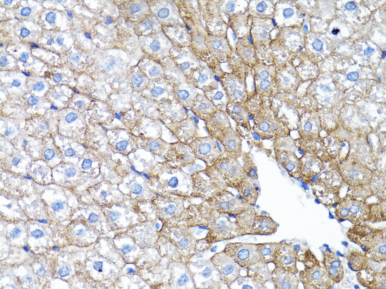
Immunohistochemistry analysis of paraffin-embedded Rat liver using EGFR Rabbit pAb.

Receptor for EGF, but also for other members of the EGF family, as TGF-a, amphiregulin, betacellulin, heparin-binding EGF-like growth factor, GP30 and vaccinia virus growth factor. Is involved in the control of cell growth and differentia

Gingras AC, et al. (1998) Genes Dev 12(4): 502-513.
Brugarolas J, et al. (2004) Genes Dev 18(23): 2893-2904.
Kumar V, et al. (2000) EMBO J 19(5): 1087-1097.
Moody CA, et al. (2005) J Virol 79(9): 5499-5506.
Burnett PE, et al. (1998) Proc Natl Acad Sci U S A 95(4): 1432-1437.

如果您使用该产品21222发表了文章,请通知我们,让我们可以引用您的文献。

et al,EGFR-induced and PKC蔚 monoubiquitylation-dependent NF-魏B activation upregulates PKM2 expression and promotes tumorigenesis. In Mol Cell on 2012 Dec 14 by Weiwei Yang, Yan Xia, et al..PMID: 23123196 , (2012),
PMID: 23123196
et al,sZIP, an alternative splice variant of ZIP, antagonizes transcription repression and growth inhibition by ZIP. In J Biol Chem on 2010 May 7 by Wenhua Yu, Ruifang Li, et al..PMID: 20233718 , (2010),
PMID: 20233718
et al,Aldosterone induces myofibroblast EGF secretion to regulate epithelial colonic permeability. In Am J Physiol Cell Physiol on 2013 May 1 by Llu茂sa Mir贸, Anna P茅rez-Bosque, et al..PMID:23467299 , (2013),
PMID: 23467299
et al,Secreted and O-GlcNAcylated MIF binds to the human EGF receptor and inhibits its activation.In Nat Cell Biol on 2015 Oct by Yanhua Zheng, Xinjian Li et al..PMID:26280537 , (2015),
PMID: 26280537
et al,A thiazole-derived oridonIn analogue exhibits antitumor activity by directly and allosterically InhibitIng STAT3. In J Biol Chem on 2019 Nov 15;by Shen X, Zhao L,et al..PMID:31594861 , (2019),
PMID: 31594861
et al,Role of Proprotein Convertases in Prostate Cancer Progression , (2012),
PMID: 23226097

注释

应用

  • WB免疫印迹
  • IHC免疫组化
  • IF免疫荧光
  • ICC免疫细胞化学
  • FC流式细胞
  • IP免疫沉淀
  • E酶联免疫吸附法
  • DB免疫斑点法
  • ChIP染色质免疫沉淀
  • GICA胶体金免疫层析法
  • NC阴性对照

种属反应性

  • Hu
  • Ms小鼠
  • Rt大鼠
  • Dm果蝇
  • C线虫
  • Mk
  • Rb
  • B
  • D
  • P
  • Hm仓鼠
  • ChHm中国仓鼠
  • Chk
;

联系我们

Location :

南京市高新开发区星火路10号人才大厦C座

Phone :

400-9961-933
025-58868422

Email Address

info@sabbiotech.com