免费电话:400-9961-933
邮箱:info@sabbiotech.com
欢迎光临本站
川博智能体 English
位置: 首页 > 多克隆抗体 > TFR2 Polyclonal Antibody

TFR2 Polyclonal Antibody #31754

是否有货: Yes
产品详情

产品名称TFR2 Polyclonal Antibody

来源种属Rabbit

克隆性Polyclonal

亚型IgG

纯化Affinity purification

应用WB,IHC,IF

种属反应性Human;Mouse

免疫原描述Recombinant fusion protein of human TFR2 (NP_003218.2).

标记Unconjugated

别名TFR2;HFE3;TFRC2

数据库入口号Uniprot:Q9UP52
GeneID:7036

Uniprot Q9UP52

Gene ID 7036

计算分子量89kDa

实际分子量100KDa

配方PBS with 0.02% sodium azide,50% glycerol,pH7.3.

保存Store at -20˚C. Avoid freeze / thaw cycles.

应用详情
WB 1:500 - 1:2000
IHC 1:50 - 1:200
IF 1:50 - 1:200
Western blot analysis of extracts of various cell lines, using TFR2 antibody.
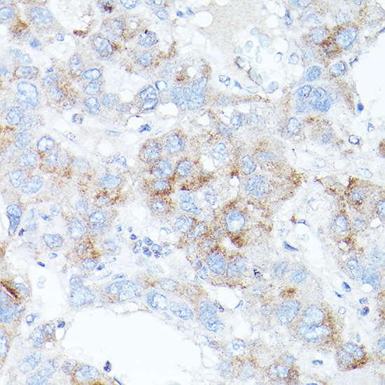
Immunohistochemistry of paraffin-embedded human liver cancer using TFR2 antibody.
Immunofluorescence analysis of HepG2 cells using TFR2 Rabbit pAb.
This gene encodes a single-pass type II membrane protein, which is a member of the transferrin receptor-like family. This protein mediates cellular uptake of transferrin-bound iron, and may be involved in iron metabolism, hepatocyte function and erythrocyte differentiation. Mutations in this gene have been associated with hereditary hemochromatosis type III. Alternatively spliced transcript variants encoding different isoforms have been described for this gene.

如果您使用该产品31754发表了文章,请通知我们,让我们可以引用您的文献。

et al,HUWE1 in Skeletal Muscle Prevents Muscle Fatigue via Maintaining Iron and Calcium Homeostasis , (2025),
PMID: 41261985

注释

应用

  • WB免疫印迹
  • IHC免疫组化
  • IF免疫荧光
  • ICC免疫细胞化学
  • FC流式细胞
  • IP免疫沉淀
  • E酶联免疫吸附法
  • DB免疫斑点法
  • ChIP染色质免疫沉淀
  • GICA胶体金免疫层析法
  • NC阴性对照

种属反应性

  • Hu
  • Ms小鼠
  • Rt大鼠
  • Dm果蝇
  • C线虫
  • Mk
  • Rb
  • B
  • D
  • P
  • Hm仓鼠
  • ChHm中国仓鼠
  • Chk
;

联系我们

Location :

南京市高新开发区星火路10号人才大厦C座

Phone :

400-9961-933
025-58868422

Email Address

info@sabbiotech.com