免费电话:400-9961-933
邮箱:info@sabbiotech.com
欢迎光临本站
川博智能体 English
位置: 首页 > 多克隆抗体 > ANXA8 Antibody

ANXA8 Antibody #35621

是否有货: 有货
产品详情

产品名称ANXA8 Antibody

来源种属Rabbit

克隆性Polyclonal

纯化Antigen affinity purification.

应用WB IHC

种属反应性Human

特异性The antibody detects endogenous levels of total ANXA8 protein.

免疫原类型Recombinant Protein

免疫原描述Fusion protein corresponding to a region derived from internal residues of human annexin A8

基因/蛋白名称ANXA8

标记Unconjugated

别名ANX8

数据库入口号Swiss-Prot#: P13928
NCBI Gene ID: 653145
Gene Accssion: BC073755

Uniprot P13928

实际分子量37kd

浓度1.3mg/ml

配方Rabbit IgG in pH7.3 PBS, 0.05% NaN3, 50% Glycerol.

保存Store at -20˚C

应用详情
Western blotting: 1:200-1:1000
Immunohistochemistry: 1:50-1:100
Gel: 10%SDS-PAGE
Lysate: 40ug A549 cell
Primary antibody: 1/300 dilution
Secondary antibody dilution: 1/8000
Exposure time: 2 minutes
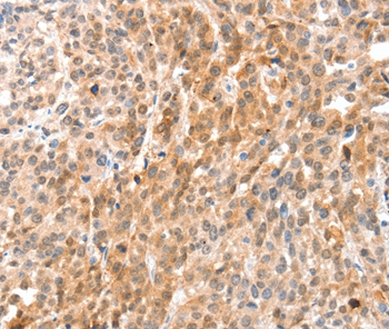
Immunohistochemical analysis of paraffin-embedded Human esophagus cancer tissue using #35621 at dilution 1/35.
This gene encodes a member of the annexin family of evolutionarily conserved Ca2+ and phospholipid binding proteins. The encoded protein may function as an an anticoagulant that indirectly inhibits the thromboplastin-specific complex. Overexpression of this gene has been associated with acute myelocytic leukemia. A highly similar duplicated copy of this gene is found in close proximity on the long arm of chromosome 10.

如果您使用该产品35621发表了文章,请通知我们,让我们可以引用您的文献。

et al,Discovery of a Novel 1,4-Benzodiazepine Derivative as a Highly Selective ANXA3 Degrader for the Treatment of Triple-Negative Breast Cancer. , (2025),
PMID: 40013713

注释

应用

  • WB免疫印迹
  • IHC免疫组化
  • IF免疫荧光
  • ICC免疫细胞化学
  • FC流式细胞
  • IP免疫沉淀
  • E酶联免疫吸附法
  • DB免疫斑点法
  • ChIP染色质免疫沉淀
  • GICA胶体金免疫层析法
  • NC阴性对照

种属反应性

  • Hu
  • Ms小鼠
  • Rt大鼠
  • Dm果蝇
  • C线虫
  • Mk
  • Rb
  • B
  • D
  • P
  • Hm仓鼠
  • ChHm中国仓鼠
  • Chk
;

联系我们

Location :

南京市高新开发区星火路10号人才大厦C座

Phone :

400-9961-933
025-58868422

Email Address

info@sabbiotech.com