免费电话:400-9961-933
邮箱:info@sabbiotech.com
欢迎光临本站
川博智能体 English
位置: 首页 > 多克隆抗体 > APOBEC3D Antibody

APOBEC3D Antibody#37339

是否有货: 有货
产品详情

产品名称APOBEC3D Antibody

来源种属Rabbit

克隆性Polyclonal

纯化Antigen affinity purification.

应用WB IHC

种属反应性Human;Mouse

特异性The antibody detects endogenous levels of total APOBEC3D protein.

免疫原类型Peptide

免疫原描述Synthetic peptide corresponding to a region derived from internal residues of human apolipoprotein B mRNA editing enzyme, catalytic polypeptide-like 3D

基因/蛋白名称APOBEC3D

标记Unconjugated

别名A3D; ARP6; APOBEC3E; APOBEC3DE

数据库入口号Swiss-Prot#: Q6ICH2
NCBI Gene ID: 140564
Gene Accssion: NP_689639

Uniprot Q6ICH2

实际分子量47kd

浓度2.9mg/ml

配方Rabbit IgG in pH7.3 PBS, 0.05% NaN3, 50% Glycerol.

保存Store at -20˚C

应用详情
Western blotting: 1:500-1:2000
Immunohistochemistry: 1:50-1:200
Gel: 12%SDS-PAGE
Lysates (from left to right): Mouse thymus tissue and A549 cell, Lovo and K562 cell
Amount of lysate: 40ug per lane
Primary antibody: 1/580 dilution
Secondary antibody dilution: 1/8000
Exposure time: 30 seconds
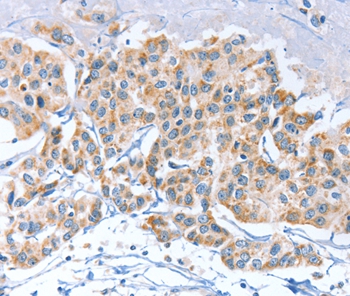
Immunohistochemical analysis of paraffin-embedded Human breast cancer tissue using #37339 at dilution 1/80.
This gene is a member of the cytidine deaminase gene family. It is one of a group of related genes found in a cluster, thought to result from gene duplication, on chromosome 22. Members of the cluster encode proteins that are structurally and functionally related to the C to U RNA-editing cytidine deaminase APOBEC1 and inhibit retroviruses, such as HIV, by deaminating cytosine residues in nascent retroviral cDNA.

如果您使用该产品37339发表了文章,请通知我们,让我们可以引用您的文献。

注释

应用

  • WB免疫印迹
  • IHC免疫组化
  • IF免疫荧光
  • ICC免疫细胞化学
  • FC流式细胞
  • IP免疫沉淀
  • E酶联免疫吸附法
  • DB免疫斑点法
  • ChIP染色质免疫沉淀
  • GICA胶体金免疫层析法
  • NC阴性对照

种属反应性

  • Hu
  • Ms小鼠
  • Rt大鼠
  • Dm果蝇
  • C线虫
  • Mk
  • Rb
  • B
  • D
  • P
  • Hm仓鼠
  • ChHm中国仓鼠
  • Chk
;

联系我们

Location :

南京市高新开发区星火路10号人才大厦C座

Phone :

400-9961-933
025-58868422

Email Address

info@sabbiotech.com