免费电话:400-9961-933
邮箱:info@sabbiotech.com
欢迎光临本站
川博智能体 English
位置: 首页 > 多克隆抗体 > ATRN Antibody

ATRN Antibody#37433

是否有货: 有货
产品详情

产品名称ATRN Antibody

来源种属Rabbit

克隆性Polyclonal

纯化Antigen affinity purification.

应用IHC

种属反应性Human

特异性The antibody detects endogenous levels of total ATRN protein.

免疫原类型Peptide

免疫原描述Synthetic peptide corresponding to a region derived from internal residues of human attractin

基因/蛋白名称ATRN

标记Unconjugated

别名MGCA; DPPT-L

数据库入口号Swiss-Prot#: O75882
NCBI Gene ID: 8455
Gene Accssion: NP_001193976

Uniprot O75882

浓度4mg/ml

配方Rabbit IgG in pH7.3 PBS, 0.05% NaN3, 50% Glycerol.

保存Store at -20˚C

应用详情
Immunohistochemistry: 1:25-1:100
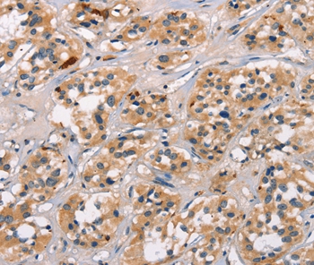
Immunohistochemical analysis of paraffin-embedded Human thyroid cancer tissue using #37433 at dilution 1/30.
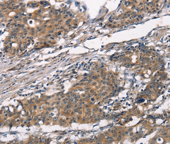
Immunohistochemical analysis of paraffin-embedded Human gastric cancer tissue using #37433 at dilution 1/30.
Multiple transcript variants encoding different isoforms exist for this gene. One of the isoforms is a membrane-bound protein with sequence similarity to the mouse mahogany protein, a receptor involved in controlling obesity. The other two isoforms are secreted proteins involved in the initial immune cell clustering during inflammatory responses that may regulate the chemotactic activity of chemokines.

如果您使用该产品37433发表了文章,请通知我们,让我们可以引用您的文献。

注释

应用

  • WB免疫印迹
  • IHC免疫组化
  • IF免疫荧光
  • ICC免疫细胞化学
  • FC流式细胞
  • IP免疫沉淀
  • E酶联免疫吸附法
  • DB免疫斑点法
  • ChIP染色质免疫沉淀
  • GICA胶体金免疫层析法
  • NC阴性对照

种属反应性

  • Hu
  • Ms小鼠
  • Rt大鼠
  • Dm果蝇
  • C线虫
  • Mk
  • Rb
  • B
  • D
  • P
  • Hm仓鼠
  • ChHm中国仓鼠
  • Chk
;

联系我们

Location :

南京市高新开发区星火路10号人才大厦C座

Phone :

400-9961-933
025-58868422

Email Address

info@sabbiotech.com