免费电话:400-9961-933
邮箱:info@sabbiotech.com
欢迎光临本站
川博智能体 English
位置: 首页 > 鼠单克隆抗体 > CK8 Mouse Monoclonal Antibody

CK8 Mouse Monoclonal Antibody #38010

是否有货: 有货
产品详情

产品名称CK8 Mouse Monoclonal Antibody

克隆号8G8

来源种属Mouse

克隆性Monoclonal

纯化Affinity purification using immunogen.

应用WB IHC

种属反应性Hu Ms Rt

特异性The CK8 Mouse Monoclonal antibody detects endogenous CK8 proteins.

基因/蛋白名称CK8

标记Unconjugated

别名CARD2; CK-8; CK8; CYK8; cytokeratin 8; Cytokeratin-8; K2C8; K8; keratin 8

数据库入口号Swiss-Prot#:P05787

Uniprot P05787

实际分子量54kd

浓度1.0mg/ml

配方Mouse IgG1 in phosphate buffered saline (without Mg2+ and Ca2+), pH 7.4, 150mM NaCl, 0.02% sodium azide and 50% glycerol.

保存Store at -20˚C

应用详情
Western blotting: 1:2000~1:5000
Immunohistochemistry: 1:200
Western blot analysis of Hela (lane 1) and Mouse Brain (lane 2), using #38010 diluted at 1:4,000.
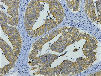
IHC staining of human colon cancer tissue with CK8 mouse mAb(8G8) diluted at 1:200.
Cytokeratin 8 belongs to the type B (basic) subfamily of high molecular weight keratins and exists in combination with cytokeratin 18. Cytokeratin 8 is primarily found in the non squamous epithelia and is present in majority of adenocarcinomas and ductal carcinomas. It is absent in squamous cell carcinomas.

如果您使用该产品38010发表了文章,请通知我们,让我们可以引用您的文献。

et al,A Novel Airway-Organoid Model Based on a Nano-Self-Assembling Peptide: Construction and Application in Adenovirus Infection StudiesIn Int J NanomedicineOn2023 Sep 14byYun-E Xu , Di-Shu Ao et al..PMID:37727652 , (2023),
PMID: 37727652

注释

应用

  • WB免疫印迹
  • IHC免疫组化
  • IF免疫荧光
  • ICC免疫细胞化学
  • FC流式细胞
  • IP免疫沉淀
  • E酶联免疫吸附法
  • DB免疫斑点法
  • ChIP染色质免疫沉淀
  • GICA胶体金免疫层析法
  • NC阴性对照

种属反应性

  • Hu
  • Ms小鼠
  • Rt大鼠
  • Dm果蝇
  • C线虫
  • Mk
  • Rb
  • B
  • D
  • P
  • Hm仓鼠
  • ChHm中国仓鼠
  • Chk
;

联系我们

Location :

南京市高新开发区星火路10号人才大厦C座

Phone :

400-9961-933
025-58868422

Email Address

info@sabbiotech.com