免费电话:400-9961-933
邮箱:info@sabbiotech.com
欢迎光临本站
川博智能体 English
位置: 首页 > 多克隆抗体 > BLM Antibody

BLM Antibody #43849

是否有货: Yes
产品详情

产品名称BLM Antibody

来源种属Rabbit

克隆性Polyclonal

纯化Antigen affinity purification

应用IHC

种属反应性Human

特异性The antibody detects endogenous levels of total BLM protein.

免疫原类型peptide

免疫原描述Synthetic peptide of human BLM

基因/蛋白名称BLM

标记Unconjugated

别名BS; RECQ2; RECQL2; RECQL3

数据库入口号Swiss-Prot#: P54132
NCBI Gene ID: 641

Uniprot P54132

浓度0.8mg/ml

配方Rabbit IgG in pH7.4 PBS, 0.05% NaN3, 40% Glycerol.

保存Store at -20˚C

应用详情

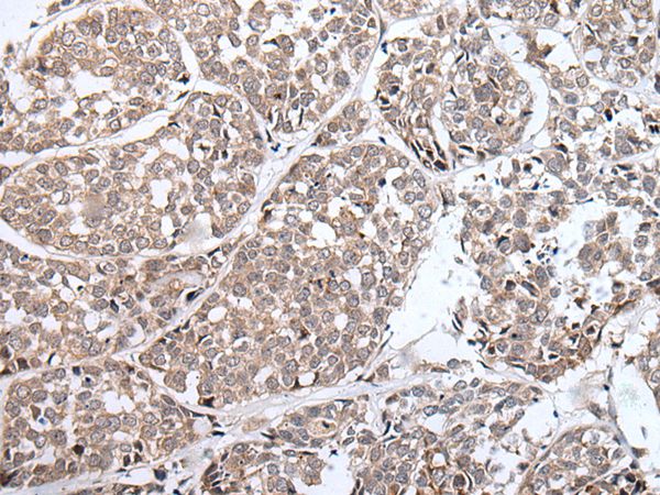
Immunohistochemistry: 1: 20-100
The image on the left is immunohistochemistry of paraffin-embedded Human esophagus cancer tissue using BLM Antibody at dilution 1/35, on the right is treated with synthetic peptide. (Original magnification: x200)
The Bloom syndrome gene product is related to the RecQ subset of DExH box-containing DNA helicases and has both DNA-stimulated ATPase and ATP-dependent DNA helicase activities. Mutations causing Bloom syndrome delete or alter helicase motifs and may disable the 3'-5' helicase activity. The normal protein may act to suppress inappropriate recombination.

如果您使用该产品43849发表了文章,请通知我们,让我们可以引用您的文献。

注释

应用

  • WB免疫印迹
  • IHC免疫组化
  • IF免疫荧光
  • ICC免疫细胞化学
  • FC流式细胞
  • IP免疫沉淀
  • E酶联免疫吸附法
  • DB免疫斑点法
  • ChIP染色质免疫沉淀
  • GICA胶体金免疫层析法
  • NC阴性对照

种属反应性

  • Hu
  • Ms小鼠
  • Rt大鼠
  • Dm果蝇
  • C线虫
  • Mk
  • Rb
  • B
  • D
  • P
  • Hm仓鼠
  • ChHm中国仓鼠
  • Chk
;

联系我们

Location :

南京市高新开发区星火路10号人才大厦C座

Phone :

400-9961-933
025-58868422

Email Address

info@sabbiotech.com