免费电话:400-9961-933
邮箱:info@sabbiotech.com
欢迎光临本站
川博智能体 English
位置: 首页 > 鼠单克隆抗体 > Lactoferrin Monoclonal Antibody

Lactoferrin Monoclonal Antibody #44072

是否有货: Yes
产品详情

产品名称Lactoferrin Monoclonal Antibody

来源种属Mouse

克隆性Monoclonal

应用IF/ICC;IHC-p;ELISA

种属反应性Human

特异性The antibody detects endogenous Lactoferrin protein.

免疫原描述Synthetic Peptide of Lactoferrin

标记Unconjugated

别名LTF; LF; Lactotransferrin; Lactoferrin; Talalactoferrin

数据库入口号Swiss-Prot#: P02788 NCBI Gene ID:4057

计算分子量77

配方PBS, pH 7.4, containing 0.5%BSA, 0.02% sodium azide as Preservative and 50% Glycerol.

保存Store at -20˚C/1 year

应用详情

  IHC 1:50-300
IF: 1:50-200 ELISA: 1:5000-10000

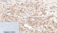
Immunohistochemical analysis of paraffin-embedded Human-breast-cancer tissue.
Immunofluorescence analysis of human-lung-cancer tissue.

如果您使用该产品44072发表了文章,请通知我们,让我们可以引用您的文献。

et al,Proteomic portrait of degranulation program in human circulating neutrophils upon multi-inflammatory and infectious activation , (2025),
PMID: 41033464

注释

应用

  • WB免疫印迹
  • IHC免疫组化
  • IF免疫荧光
  • ICC免疫细胞化学
  • FC流式细胞
  • IP免疫沉淀
  • E酶联免疫吸附法
  • DB免疫斑点法
  • ChIP染色质免疫沉淀
  • GICA胶体金免疫层析法
  • NC阴性对照

种属反应性

  • Hu
  • Ms小鼠
  • Rt大鼠
  • Dm果蝇
  • C线虫
  • Mk
  • Rb
  • B
  • D
  • P
  • Hm仓鼠
  • ChHm中国仓鼠
  • Chk
;

联系我们

Location :

南京市高新开发区星火路10号人才大厦C座

Phone :

400-9961-933
025-58868422

Email Address

info@sabbiotech.com