免费电话:400-9961-933
邮箱:info@sabbiotech.com
欢迎光临本站
川博智能体 English
位置: 首页 > 鼠单克隆抗体 > AKT Mouse Monoclonal Antibody(1H2)

AKT Mouse Monoclonal Antibody(1H2) #44149

是否有货: 有货
产品详情

产品名称AKT Mouse Monoclonal Antibody(1H2)

克隆号1H2

来源种属Mouse

克隆性Monoclonal

亚型IgG1

应用WB IHC

种属反应性Human

特异性AKT Mouse Monoclonal Antibody(1H2) detects endogenous levels of AKT1

免疫原类型Peptide

免疫原描述Synthetic Peptide

基因/蛋白名称AKT

标记Unconjugated

别名AKT1

Uniprot P31749

计算分子量60kd

浓度1mg/ml

配方Liquid in PBS containing 50% glycerol, 0.5% BSA and 0.02% sodium azide.

保存Store at -20˚C/1 year

应用详情
Western blotting: 1:1000-1:2000
Immunohistochemistry: 1:100-1:200
Western blot analysis of PC3 Cell Lysate using Akt Mouse mAb diluted at 1:1000.
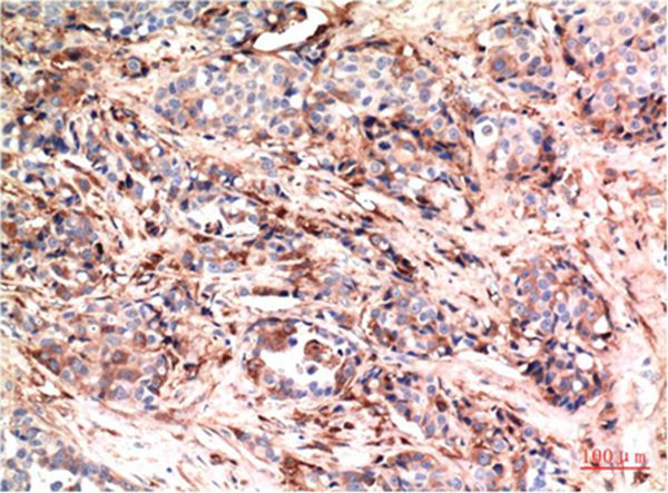
Immunohistochemical analysis of paraffin-embedded Human Lung Carcinoma Tissue using Akt Mouse mAb diluted at 1:200.
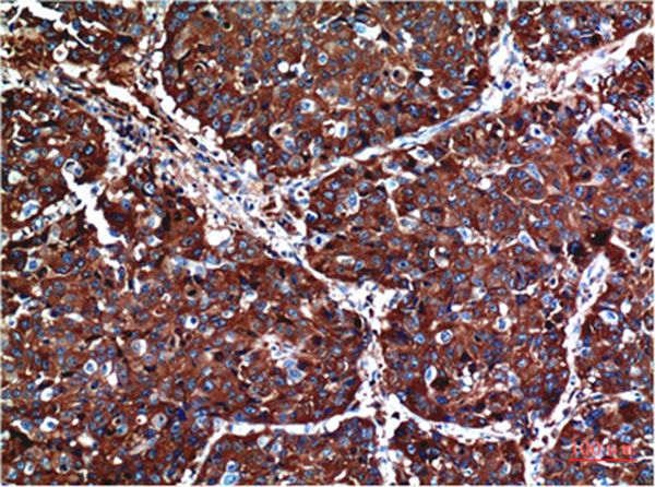
Immunohistochemical analysis of paraffin-embedded Human Breast Carcinoma Tissue using Akt Mouse mAb diluted at 1:200.

如果您使用该产品44149发表了文章,请通知我们,让我们可以引用您的文献。

et al,Effective use of PI3K inhibitor BKM120 to treat human osteosarcoma , (2017),
PMID:

注释

应用

  • WB免疫印迹
  • IHC免疫组化
  • IF免疫荧光
  • ICC免疫细胞化学
  • FC流式细胞
  • IP免疫沉淀
  • E酶联免疫吸附法
  • DB免疫斑点法
  • ChIP染色质免疫沉淀
  • GICA胶体金免疫层析法
  • NC阴性对照

种属反应性

  • Hu
  • Ms小鼠
  • Rt大鼠
  • Dm果蝇
  • C线虫
  • Mk
  • Rb
  • B
  • D
  • P
  • Hm仓鼠
  • ChHm中国仓鼠
  • Chk
;

联系我们

Location :

南京市高新开发区星火路10号人才大厦C座

Phone :

400-9961-933
025-58868422

Email Address

info@sabbiotech.com