免费电话:400-9961-933
邮箱:info@sabbiotech.com
欢迎光临本站
川博智能体 English
位置: 首页 > 鼠单克隆抗体 > PLCG1 Antibody

PLCG1 Antibody #48404

是否有货: Yes
产品详情

产品名称PLCG1 Antibody

克隆号D11-C2

来源种属Mouse

克隆性Monoclonal

纯化ProA affinity purified

应用WB, ICC, IHC, FC

种属反应性Hu, Rt, Monkey

免疫原描述Recombinant protein

标记Unconjugated

别名1 phosphatidyl D myo inositol 4 5 bisphosphate antibody
1 phosphatidylinositol 4 5 bisphosphate phosphodiesterase gamma 1 antibody
1-phosphatidylinositol-4,5-bisphosphate phosphodiesterase gamma-1 antibody
Inositoltrisphosphohydrolase antibody
Monophosphatidylinositol phosphodiesterase antibody
NCKAP3 antibody
Phosphatidylinositol phospholipase C antibody
Phosphoinositidase C antibody
Phosphoinositide phospholipase C antibody
Phosphoinositide phospholipase C-gamma-1 antibody
Phospholipase C 148 antibody
Phospholipase C gamma 1 antibody
Phospholipase C-gamma-1 antibody
Phospholipase C-II antibody
PLC gamma 1 antibody
PLC II antibody
PLC-148 antibody
PLC-gamma-1 antibody
PLC-II antibody
PLC1 antibody
PLC148 antibody
Plcg1 antibody
PLCG1_HUMAN antibody
PLCgamma1 antibody

数据库入口号Swiss-Prot#:P19174

Uniprot P19174

计算分子量148 kDa

配方1*TBS (pH7.4), 1%BSA, 40%Glycerol. Preservative: 0.05% Sodium Azide.

保存Store at -20˚C

应用详情
WB: 1:500-1:2,000
IHC: 1:50-1:200
ICC: 1:50-1:200

FC: 1:100-1:200
Western blot analysis of PLCG1 on human PLCG1 recombinant protein using anti-PLCG1 antibody at 1/1,000 dilution.
Western blot analysis of PLCG1 on HEK293 (1) and PLCG1-hIgGFc transfected HEK293 (2) cell lysate using anti-PLCG1 antibody at 1/1,000 dilution.
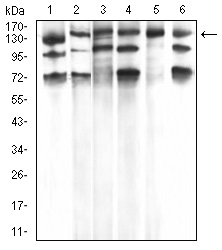
Western blot analysis of PLCG1 on different cell lysate using anti-PLCG1 antibody at 1/1,000 dilution.? Positive control�� Line1: Hela Line2: A431 Line3: C6 Line4: NIH/3T3 Line5: COS7 Line6: HCT116
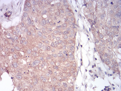
Immunohistochemical analysis of paraffin-embedded human cervical cancer tissues using anti-PLCG1 antibody. Counter stained with hematoxylin.
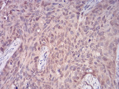
Immunohistochemical analysis of paraffin-embedded human bladder cancer tissues using anti-PLCG1 antibody. Counter stained with hematoxylin.
ICC staining PLCG1 (green) and Actin filaments (red) in Hela cells. The nuclear counter stain is DAPI (blue). Cells were fixed in paraformaldehyde, permeabilised with 0.25% Triton X100/PBS.
Flow cytometric analysis of Jurkat cells with PLCG1 antibody at 1/100 dilution (green) compared with an unlabelled control (cells without incubation with primary antibody; red).
Phospholipase C-gamma 1 (PLC g1) is an isozyme of the phosphoinositide-specific PLC family, which occupies a central role in hormonal signal transduction pathways and is a substrate for the epidermal growth factor receptor tyrosine kinase. Following activation of TrkB, PLC g1 is phosphorylated on Tyrosine 783, Tyrosine 771 and Tyrosine 1253. Tyrosine 783 lies just downstream of the kinase domain in a relatively short sequence motif characteristic of the Trk family of protein-tyrosine kinase receptors. The sequence around Tyrosine 783 fits a consensus sequence for binding PLC g1. PLC g1 also forms a complex with TrkB consistent with the possibility that one of the TrkB autophosphorylation sites provides a binding site for the PLC g1 SH2 domains, as is the case for other receptor protein-tyrosine kinases.

如果您使用该产品48404发表了文章,请通知我们,让我们可以引用您的文献。

et al,Pyroptosis: a novel signature to predict prognosis and immunotherapy response in gliomas. In Hum Cell on 2022 Nov by Guiying He, Zhimin Chen, et al..PMID:36129672 , (2022),
PMID: 36129672

注释

应用

  • WB免疫印迹
  • IHC免疫组化
  • IF免疫荧光
  • ICC免疫细胞化学
  • FC流式细胞
  • IP免疫沉淀
  • E酶联免疫吸附法
  • DB免疫斑点法
  • ChIP染色质免疫沉淀
  • GICA胶体金免疫层析法
  • NC阴性对照

种属反应性

  • Hu
  • Ms小鼠
  • Rt大鼠
  • Dm果蝇
  • C线虫
  • Mk
  • Rb
  • B
  • D
  • P
  • Hm仓鼠
  • ChHm中国仓鼠
  • Chk
;

联系我们

Location :

南京市高新开发区星火路10号人才大厦C座

Phone :

400-9961-933
025-58868422

Email Address

info@sabbiotech.com