免费电话:400-9961-933
邮箱:info@sabbiotech.com
欢迎光临本站
川博智能体 English
位置: 首页 > 鼠单克隆抗体 > MMP-9 Monoclonal Antibody

MMP-9 Monoclonal Antibody #49188

是否有货: Yes
产品详情

产品名称MMP-9 Monoclonal Antibody

来源种属Mouse

克隆性Monoclonal

纯化Affinity purification

应用WB;IHC;IF;FCM;ELISA

种属反应性Human

特异性MMP-9 Monoclonal Antibody detects endogenous levels of MMP-9 protein.

免疫原描述Purified recombinant fragment of human MMP-9 expressed in E. Coli.

基因/蛋白名称MMP9

标记Unconjugated

别名MMP9;CLG4B;Matrix metalloproteinase-9;MMP-9;92 kDa gelatinase;92 kDa type IV collagenase;Gelatinase B;GELB

Uniprot P14780

Gene ID 4318

计算分子量78kD

配方Liquid in PBS containing 50% glycerol, 0.5% BSA and 0.02% sodium azide.

保存Store at -20℃/1 year

应用详情

WB 1:500 - 1:2000.
IHC 1:200 - 1:1000.
IF 1:200 - 1:1000.
Flow cytometry: 1:200 - 1:400.
ELISA: 1:10000.

Western Blot analysis using MMP-9 Monoclonal Antibody against HEK293 (1), MMP7-hIgGFc transfected HEK293 (2) cell lysate and MMP9-hIgGFc transfected HEK293 (3) cell lysate.
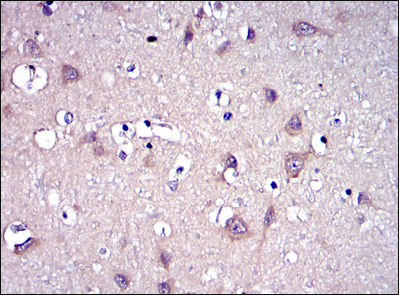
Immunohistochemistry analysis of paraffin-embedded brain tissues with DAB staining using MMP-9 Monoclonal Antibody.
Immunofluorescence analysis of NIH/3T3 cells using MMP-9 Monoclonal Antibody (green).

如果您使用该产品49188发表了文章,请通知我们,让我们可以引用您的文献。

et al,Proteomic portrait of degranulation program in human circulating neutrophils upon multi-inflammatory and infectious activation , (2025),
PMID: 41033464

注释

应用

  • WB免疫印迹
  • IHC免疫组化
  • IF免疫荧光
  • ICC免疫细胞化学
  • FC流式细胞
  • IP免疫沉淀
  • E酶联免疫吸附法
  • DB免疫斑点法
  • ChIP染色质免疫沉淀
  • GICA胶体金免疫层析法
  • NC阴性对照

种属反应性

  • Hu
  • Ms小鼠
  • Rt大鼠
  • Dm果蝇
  • C线虫
  • Mk
  • Rb
  • B
  • D
  • P
  • Hm仓鼠
  • ChHm中国仓鼠
  • Chk
;

联系我们

Location :

南京市高新开发区星火路10号人才大厦C座

Phone :

400-9961-933
025-58868422

Email Address

info@sabbiotech.com