免费电话:400-9961-933
邮箱:info@sabbiotech.com
欢迎光临本站
川博智能体 English
位置: 首页 > 重组兔单抗 > PD-L1 Rabbit mAb

PD-L1 Rabbit mAb #49251

是否有货: Yes
产品详情

产品名称PD-L1 Rabbit mAb

克隆号JJ08-95

来源种属Recombinant Rabbit

克隆性 Monoclonal antibody

纯化ProA affinity purified

应用WB, IHC

种属反应性Human;Mouse;Rat

免疫原描述recombinant protein

标记Unconjugated

别名B7 H antibody
B7 H1 antibody
B7 homolog 1 antibody
B7-H1 antibody
B7H antibody
B7H1 antibody
CD 274 antibody
CD274 antibody
CD274 antigen antibody
CD274 molecule antibody
MGC142294 antibody
MGC142296 antibody
OTTHUMP00000021029 antibody
PD L1 antibody
PD-L1 antibody
PD1L1_HUMAN antibody
PDCD1 ligand 1 antibody
PDCD1L1 antibody
PDCD1LG1 antibody
PDL 1 antibody
PDL1 antibody
Programmed cell death 1 ligand 1 antibody
Programmed death ligand 1 antibody
RGD1566211 antibody

数据库入口号Swiss-Prot#:Q9NZQ7

Uniprot Q9NZQ7

计算分子量33 kDa

配方1*TBS (pH7.4), 1%BSA, 40%Glycerol. Preservative: 0.05% Sodium Azide.

保存Store at -20˚C

应用详情
WB: 1:1,000
IHC: 1:50-1:200


Western blot analysis of PD-L1 on mouse heart lysates using anti-PD-L1 antibody at 1/1,000 dilution.
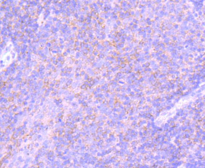
Immunohistochemical analysis of paraffin-embedded human tonsil tissue using anti-PD-L1 antibody. Counter stained with hematoxylin.
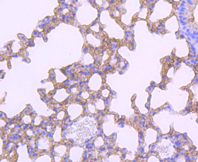
Immunohistochemical analysis of paraffin-embedded mouse lung tissue using anti-PD-L1 antibody. Counter stained with hematoxylin.
Engagement of CD28 by B7-1 (CD80) or B7-2 (CD86) in the presence of antigen promotes T cell proliferation, cytokine production, differentiation of effector T cells, and the induction of Bcl-x, a promoter of T cell survival. Conversely, engagement of CTLA4 by B7-1 or B7-2 may inhibit proliferation and IL-2 production. Pdcd-1L1 (programmed cell death ligand-1), also known as B7-H1 or PD-L1, is 290 amino acid type I transmembrane protein which is 20% and 15% identical to B7-1 and B7-2, respectively. Pdcd-1L2 has immunoglobulin V-like and C-like domains and a 30 amino acid cytoplasmic tail. It does not bind CD28, cytotoxic T-lymphocyte A4 or ICOS (inducible co-stimulator). IL-2, although produced in small amounts, is required for the effect of Pdcd-1L1 co-stimulation. The gene which encodes Pdcd-1L1 maps to human chromosome 9p24. Pdcd-1L2 (programmed cell death ligand-2) is a 73 amino acid protein which contains a signal sequence, IgV- and IgC-like domains, a transmembrane region and a cytoplasmic region. The gene which encodes Pdcd-1L2 maps to human chromosome 9p24.2. The constitutive expression of Pdcd-1L1 and Pdcd-1L2 on paren-chymal cells of heart, lung and kidney suggests that the Pdcd-1-Pdcd-L system could provide unique negative signaling to help prevent autoimmune disease.

如果您使用该产品49251发表了文章,请通知我们,让我们可以引用您的文献。

et al,Biodegradable iridium coordinated nanodrugs potentiate photodynamic therapy and immunotherapy of lung cancer. , (2025),
PMID: 39488900

注释

应用

  • WB免疫印迹
  • IHC免疫组化
  • IF免疫荧光
  • ICC免疫细胞化学
  • FC流式细胞
  • IP免疫沉淀
  • E酶联免疫吸附法
  • DB免疫斑点法
  • ChIP染色质免疫沉淀
  • GICA胶体金免疫层析法
  • NC阴性对照

种属反应性

  • Hu
  • Ms小鼠
  • Rt大鼠
  • Dm果蝇
  • C线虫
  • Mk
  • Rb
  • B
  • D
  • P
  • Hm仓鼠
  • ChHm中国仓鼠
  • Chk
;

联系我们

Location :

南京市高新开发区星火路10号人才大厦C座

Phone :

400-9961-933
025-58868422

Email Address

info@sabbiotech.com